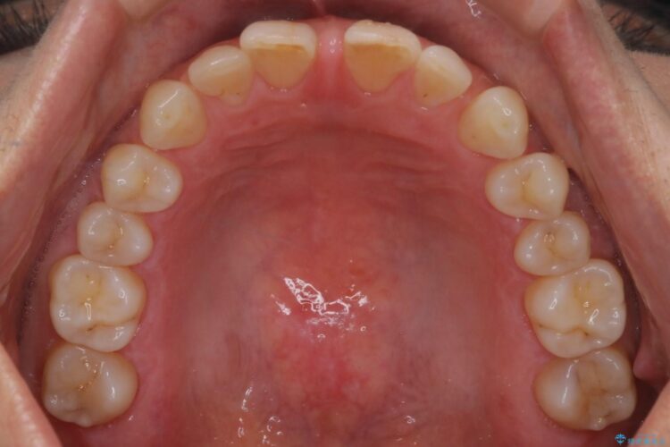
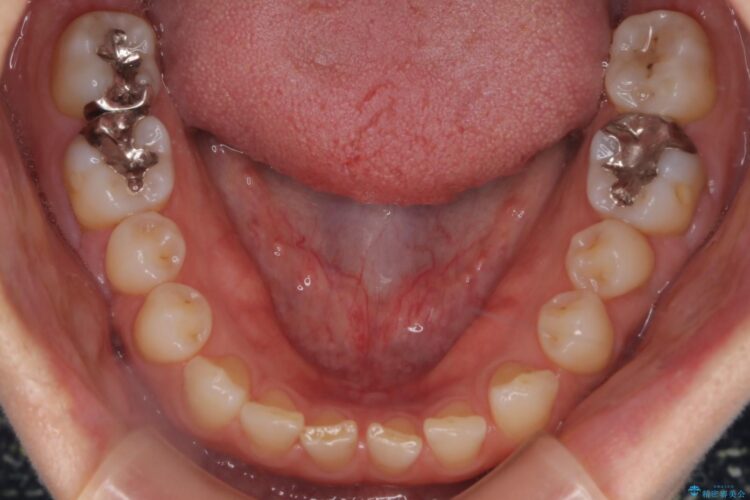
すきっ歯を審美装置で改善
治療概要
- 患者様
- 30代女性
- 治療期間
- 1年4ヶ月
- 概算治療費
- 77万円(税込)
※費用は治療当時の料金となります
治療動機
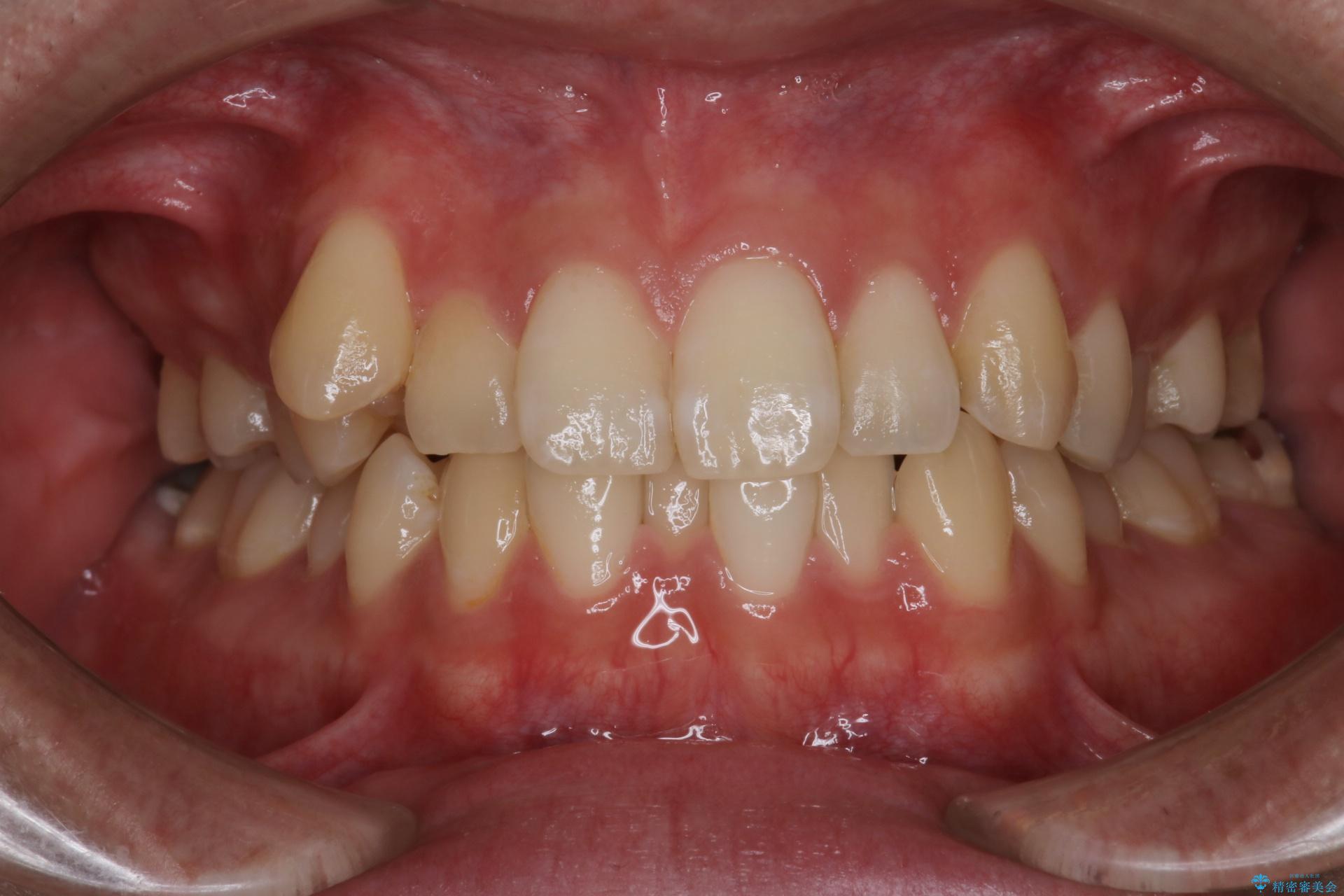
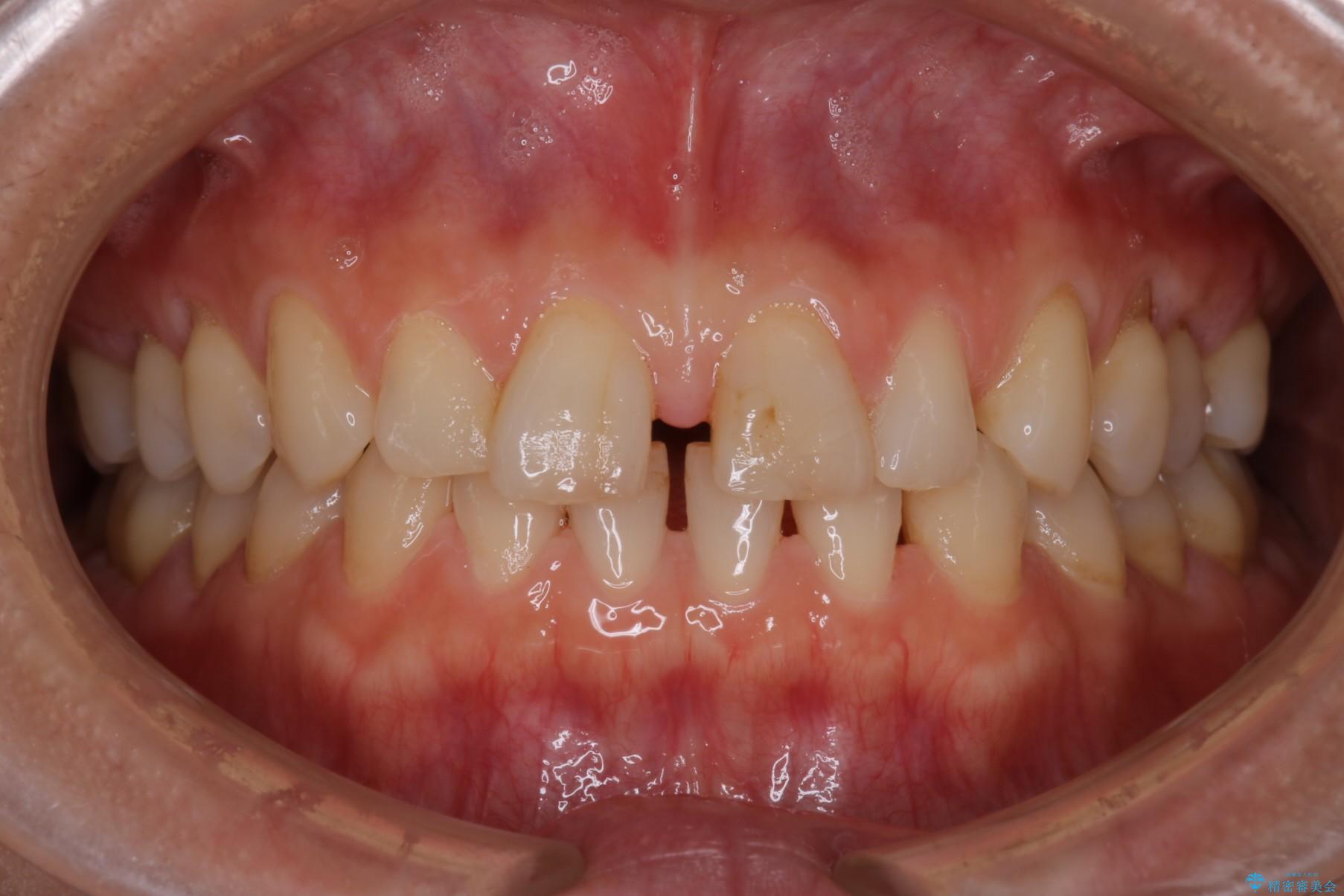
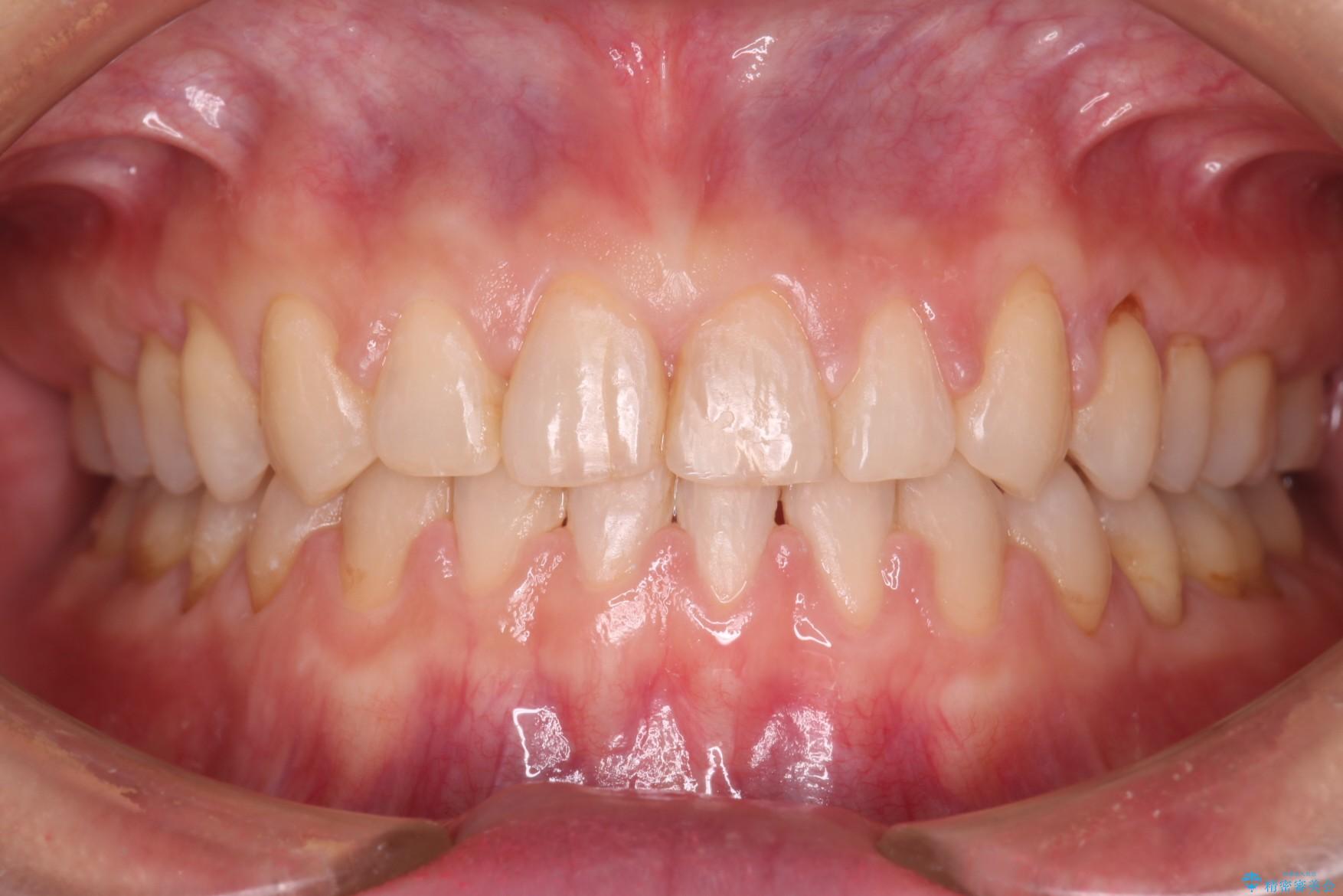
すきっ歯を主訴にご来院されました。
治療計画
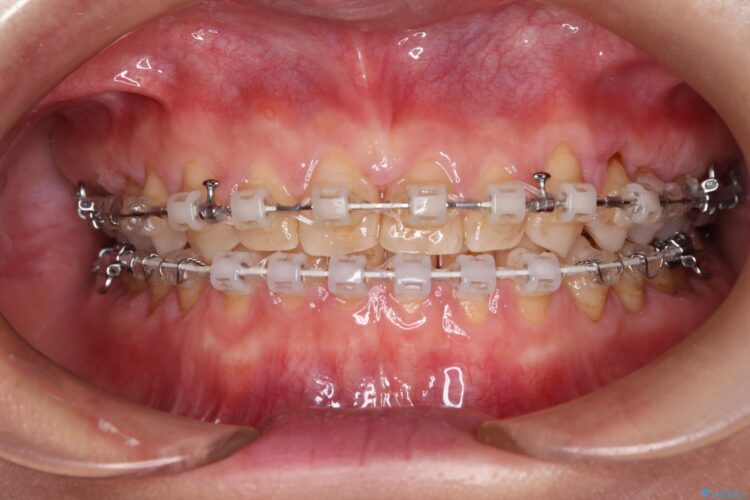
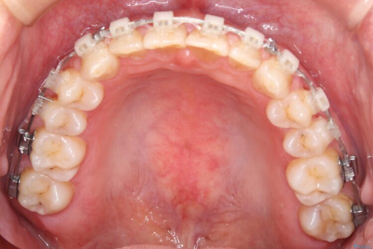
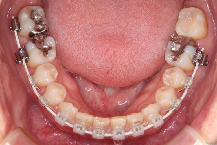
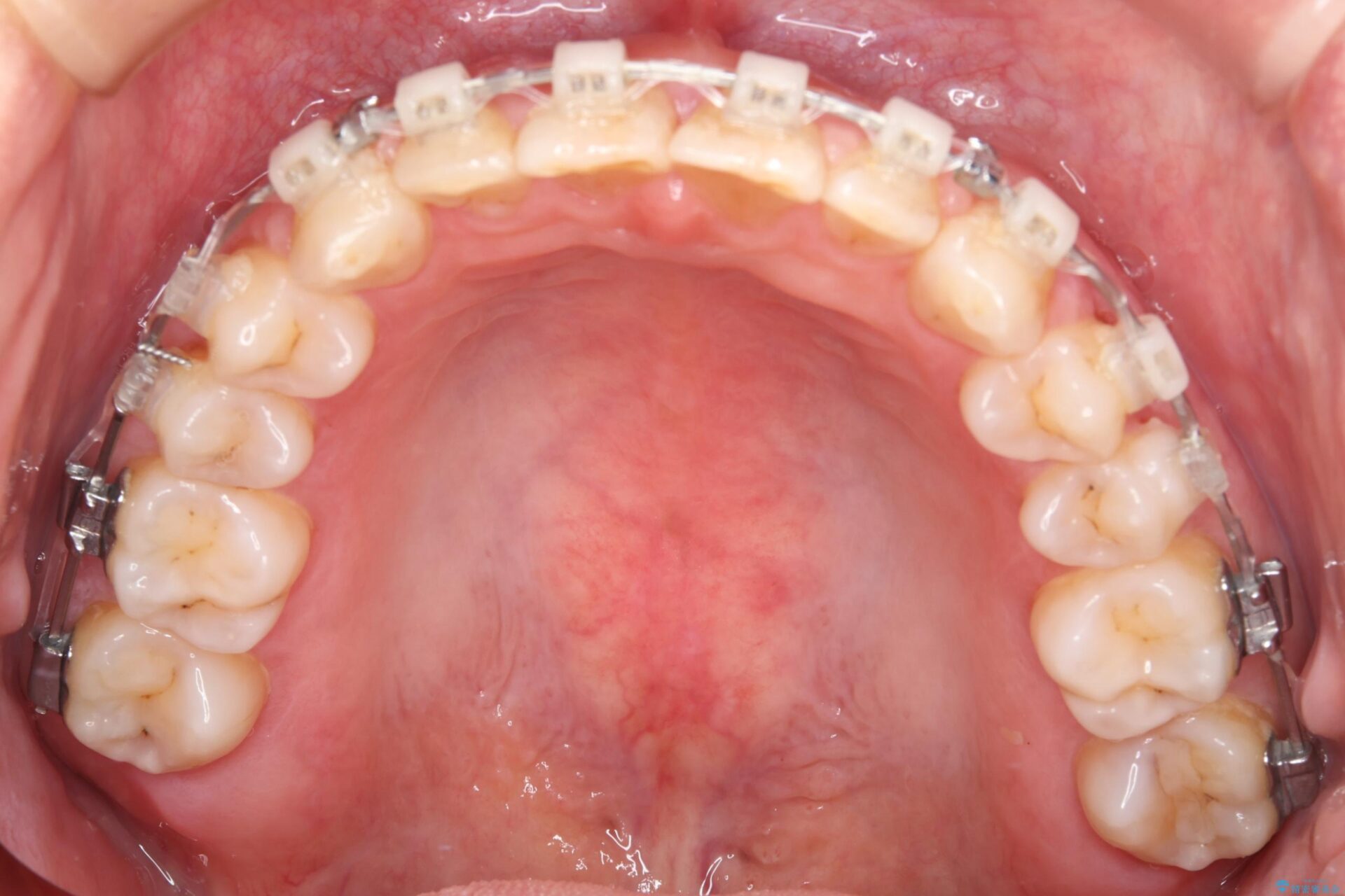
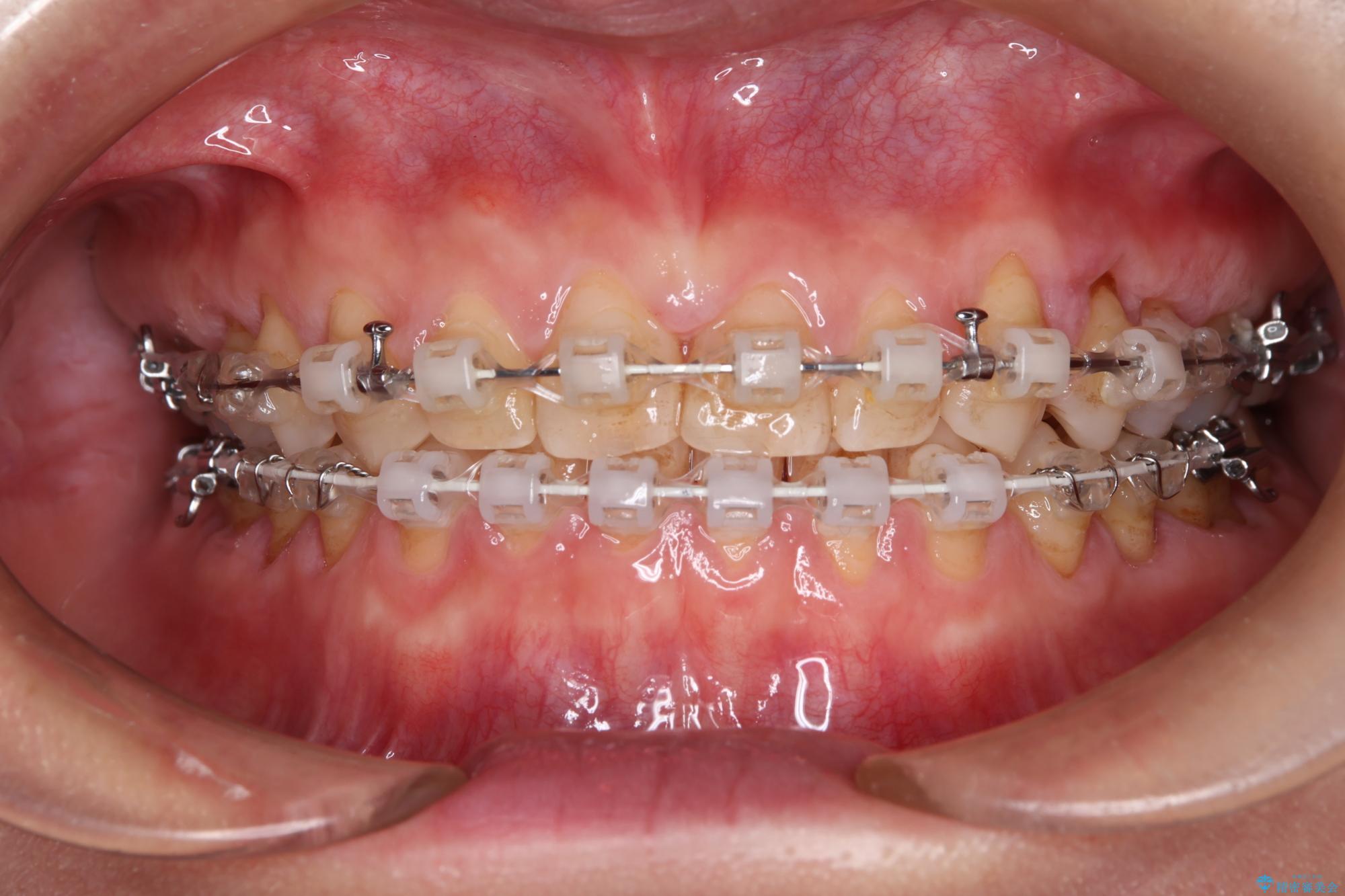
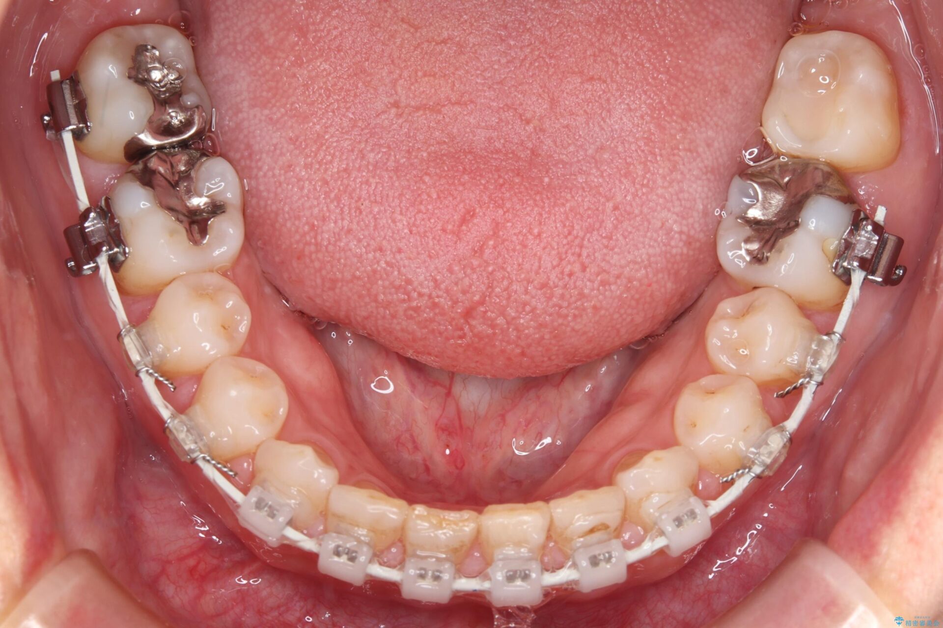
今回は抜歯の必要がなかったため、ワイヤー矯正とインビザライン矯正のどちらも選択可能でした。患者様のご希望を尊重し、表側に装置をつけるワイヤー矯正で治療を進めることになりました。
治療後について
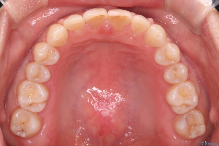
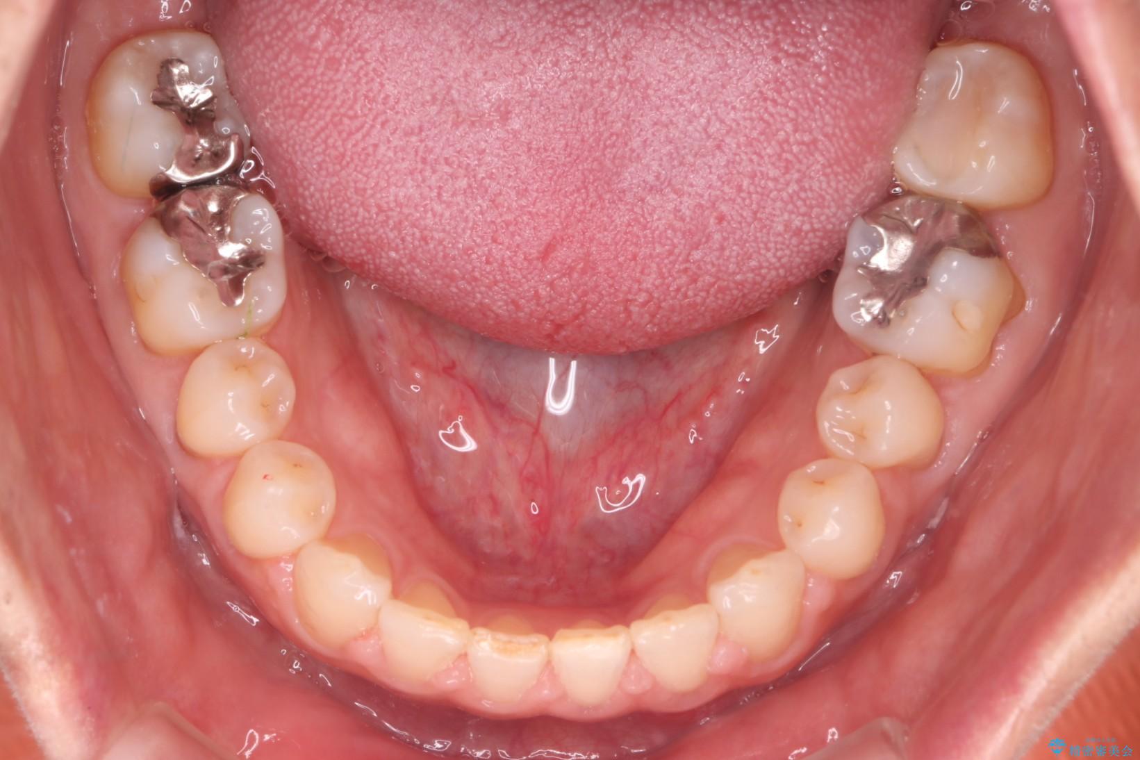
前歯の隙間を閉じるために上下でゴム掛けを行い、治療は良好に進みました。しかし、一時的に歯磨きが不十分だったことによる歯ぐきの腫れがあり、その部分のスペースを閉じるのに少し時間がかかりました。
- 治療中は違和感や痛みが起こることがあります
- 症状により、抜歯が必要な場合があります
- 治療中は歯磨きがしにくくなるため、虫歯や歯周病になりやすくなります
- 矯正治療後の保定が不十分だと後戻り(元の位置に戻ろうとする動き)をします
- 自費診療(保険適用外)となります









