【モニター】インビザラインで出っ歯の改善
治療概要
- 患者様
- 20代男性
- 治療期間
- 1年2ヶ月
- 概算治療費
- 55万円(税込)
※費用は治療当時の料金となります
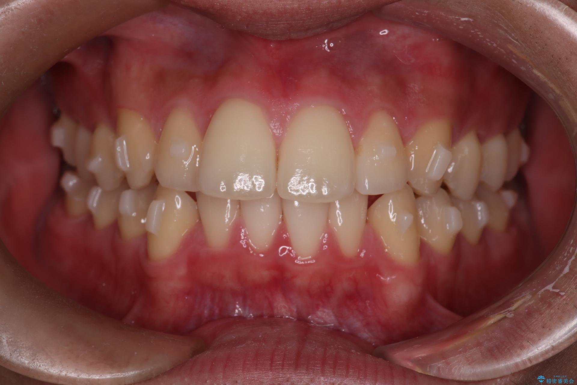
治療動機
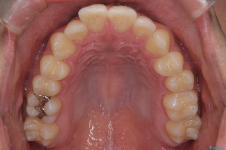
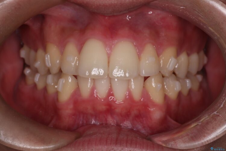
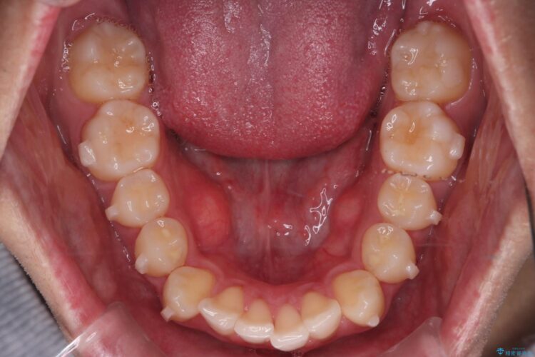
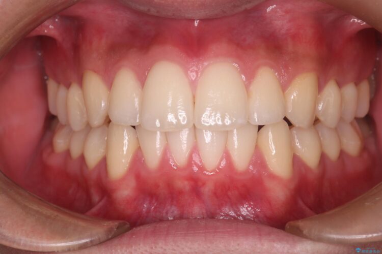
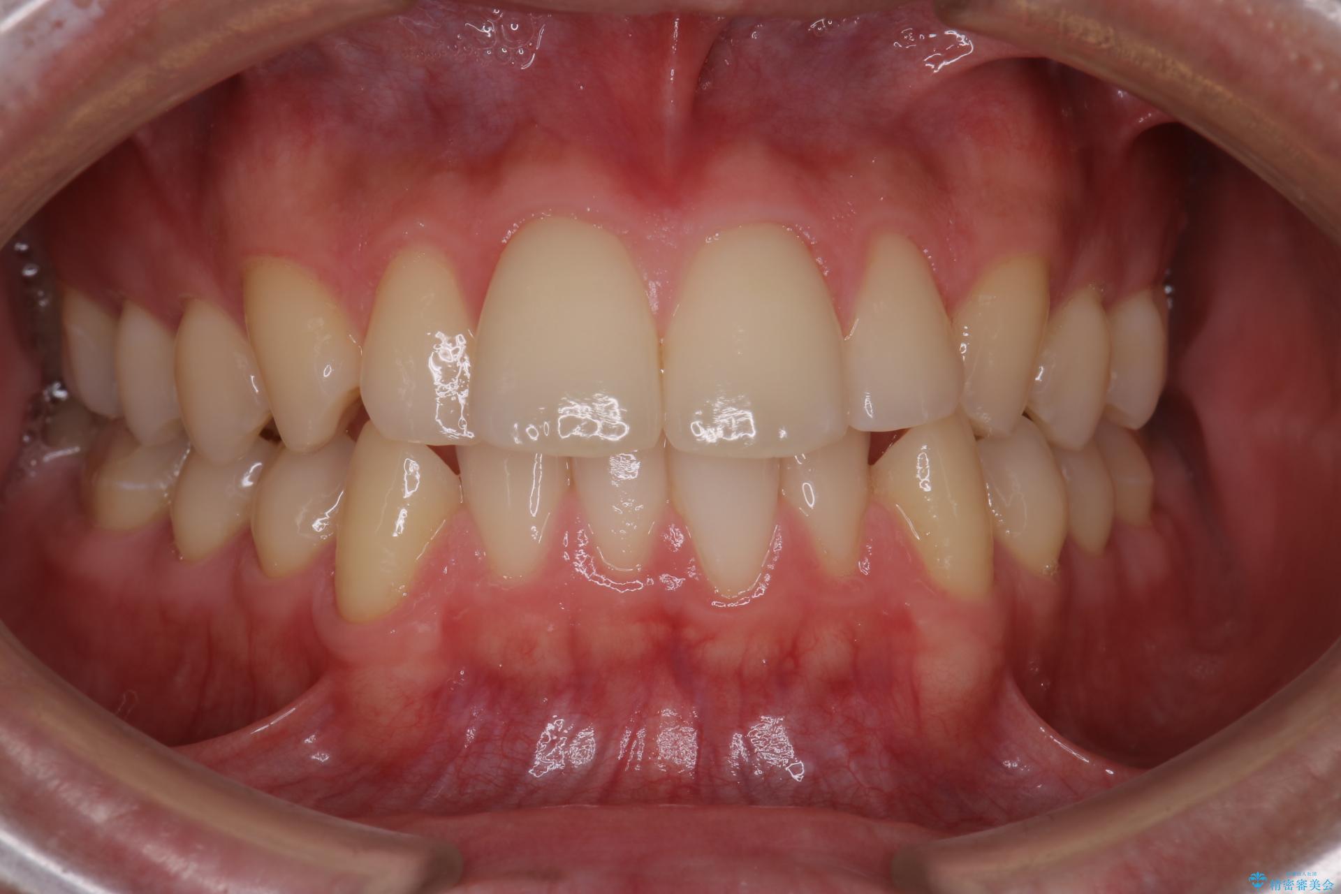
上の前歯が出ているのが気になるとご来院された患者様です。
治療計画
インビザラインでの治療を希望されました。
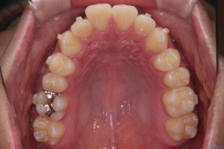
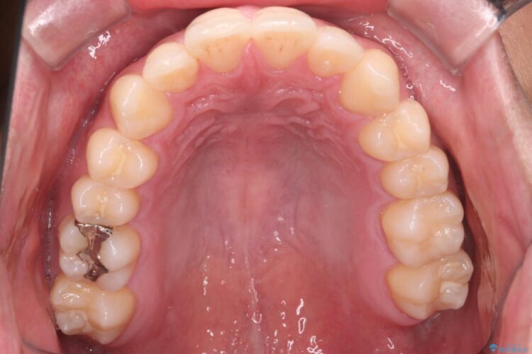
IPR(歯と歯の間を削る処置)を行うことで、前歯の位置とがたつき整える治療計画を立てました。
治療後について
患者様はシミュレーション通りに歯が動くのかと心配されていました。
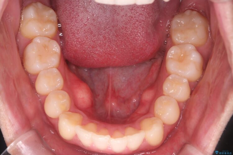
可能な限り計画通りに歯を動かすために、マウスピース1枚あたりの使用時間を長めに使っていただきました。
そのため、多少治療期間が延びましたが、リファイメント(マウスピースの再発注)なしで終了することができました。
- 口腔内・歯並びの状態によっては対応できない場合があります
- マウスピース型矯正装置の長時間装着(1日20時間以上)が必須です
- 治療計画通りに進めるためには、患者様の意志が重要になります
- 矯正治療後の保定が不十分だと後戻り(元の位置に戻ろうとする動き)をします
- 薬機法対象外の矯正歯科装置のため医薬品副作用被害救済制度の対象外となる場合があります
- 自費診療(保険適用外)となります









