電話番号をタップしてください

×

インビザライン(マウスピース矯正)の症例一覧

Cases

インビザライン(マウスピース矯正)の症例

新橋銀座しらゆり歯科のインビザライン(マウスピース矯正)治療症例一覧ページです。インビザライン(マウスピース矯正)による歯並び、噛み合わせの治療例をご紹介しております。

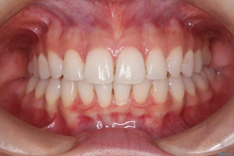
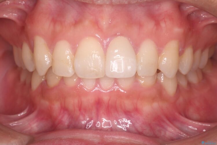
突出した前歯をインビザラインで改善

突出した前歯をインビザラインで改善 ビフォー 突出した前歯をインビザラインで改善 アフター

突出した前歯が気になるとご来院されました。

この症例の詳細

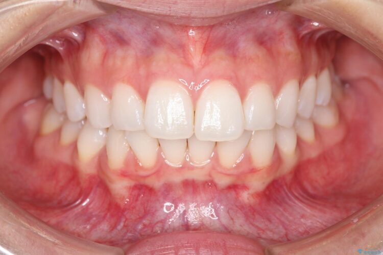
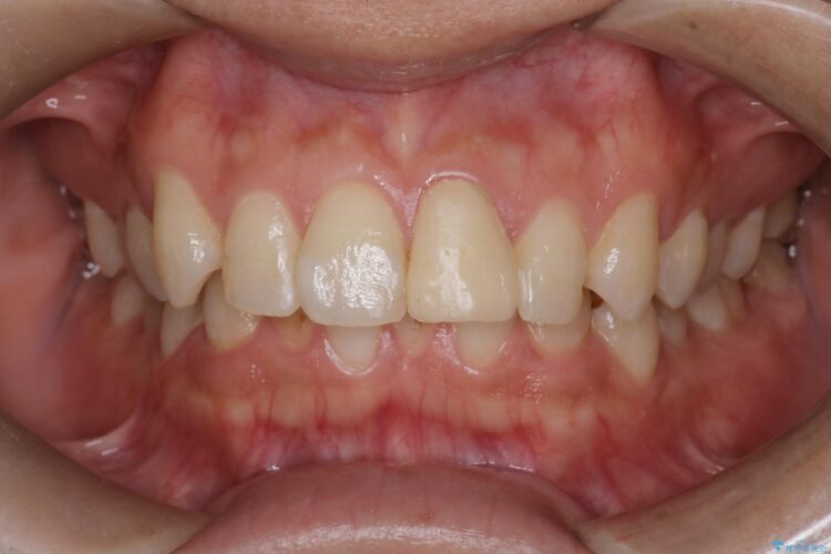
インビザラインとセラミックで前歯を美しく

インビザラインとセラミックで前歯を美しく ビフォー インビザラインとセラミックで前歯を美しく アフター

前歯の叢生と口元を下げたいとのことでご来院されました。

この症例の詳細

インビザラインで前歯のガタつきを綺麗に

インビザラインで前歯のガタつきを綺麗に ビフォー インビザラインで前歯のガタつきを綺麗に アフター

下の前歯のガタつきと正中のズレが気になるとご来院された患者様です。

この症例の詳細

気になる前歯のねじれをインビザラインで改善

気になる前歯のねじれをインビザラインで改善 ビフォー 気になる前歯のねじれをインビザラインで改善 アフター

上の前歯のねじれが気になるとご来院された患者様です。

この症例の詳細

コンビネーション矯正でがたつきと噛み合わせを改善

コンビネーション矯正でがたつきと噛み合わせを改善 ビフォー コンビネーション矯正でがたつきと噛み合わせを改善 アフター

下の歯のガタつきが気になるとご来院された患者様です。

この症例の詳細

気になる出っ歯とガタつきの改善

気になる出っ歯とガタつきの改善 ビフォー 気になる出っ歯とガタつきの改善 アフター

上の前歯が出ていること、がたつきが気になることを主訴にご来院されました。

この症例の詳細

インビザラインで右側のガタつきの改善

インビザラインで右側のガタつきの改善 ビフォー インビザラインで右側のガタつきの改善 アフター

右側前歯のがたつきが気になるとご来院された患者様です。

この症例の詳細

インビザラインでオープンバイトの改善

インビザラインでオープンバイトの改善 ビフォー インビザラインでオープンバイトの改善 アフター

オープンバイトを主訴にご相談にいらした患者様です。

この症例の詳細

【モニター】インビザラインで出っ歯の改善

【モニター】インビザラインで出っ歯の改善 ビフォー 【モニター】インビザラインで出っ歯の改善 アフター

上の前歯が出ているのが気になるとご来院された患者様です。

この症例の詳細

【モニター】費用を抑えてマウスピースで歯並び改善

【モニター】費用を抑えてマウスピースで歯並び改善 ビフォー 【モニター】費用を抑えてマウスピースで歯並び改善 アフター

がたつきを気にされご来院された患者様です。

この症例の詳細

マウスピース矯正の注意事項(リスク・副作用など)

無料相談予約

Reservation

日本歯科医療評価機構