電話番号をタップしてください

×

ワイヤー矯正の症例一覧

Cases

ワイヤー矯正の症例

新橋銀座しらゆり歯科の矯正歯科治療症例一覧ページです。表側矯正(クリアブラケット、審美装置)・裏側矯正(ハーフリンガル・フルリンガル)など、歯列矯正治療例をご紹介しております。

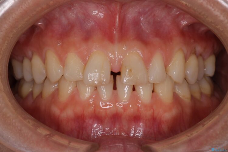
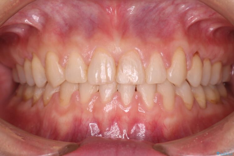
審美装置で前歯のデコボコを改善

審美装置で前歯のデコボコを改善 ビフォー 審美装置で前歯のデコボコを改善 アフター

上の前歯のデコボコを主訴にご来院された患者様です。

この症例の詳細

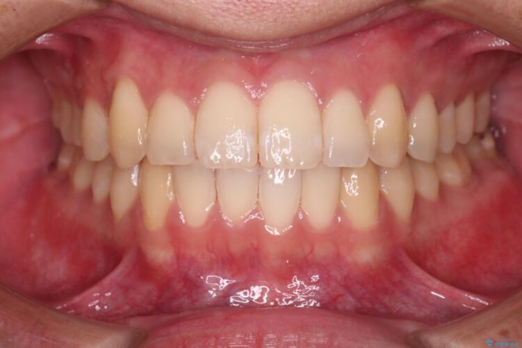
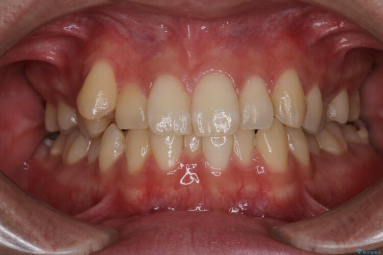
目立ちにくいクリア装置で八重歯とがたつきの改善

目立ちにくいクリア装置で八重歯とがたつきの改善 ビフォー 目立ちにくいクリア装置で八重歯とがたつきの改善 アフター

上の八重歯と下の歯のがたつきが気になるとご来院された患者様です。

この症例の詳細

すきっ歯を審美装置で改善

すきっ歯を審美装置で改善 ビフォー すきっ歯を審美装置で改善 アフター

すきっ歯を主訴にご来院されました。

この症例の詳細

審美装置で前歯の反対咬合を改善

審美装置で前歯の反対咬合を改善 ビフォー 審美装置で前歯の反対咬合を改善 アフター

前歯の歯並びが気になる、また嚙み合わせも改善したいとご来院された患者様です。

この症例の詳細

IPRと顎間ゴムを併用した審美装置によるオープンバイトの改善

IPRと顎間ゴムを併用した審美装置によるオープンバイトの改善 ビフォー IPRと顎間ゴムを併用した審美装置によるオープンバイトの改善 アフター

全体的に歯並びを綺麗にしたいとご来院された患者様です。

この症例の詳細

【審美装置】最小限の抜歯で行った矯正治療

【審美装置】最小限の抜歯で行った矯正治療 ビフォー 【審美装置】最小限の抜歯で行った矯正治療 アフター

全体的にがたつきがあるとご来院されました。

この症例の詳細

オープンバイトのワイヤー矯正

オープンバイトのワイヤー矯正 ビフォー オープンバイトのワイヤー矯正 アフター

オープンバイトの改善と口元を下げたいという主訴で来院されました。

この症例の詳細

治療途中になっていた歯の再矯正

治療途中になっていた歯の再矯正 ビフォー 治療途中になっていた歯の再矯正 アフター

他院で治療していたが中断してしまい治療途中になっている歯の矯正を希望されました。

この症例の詳細

前歯のがたつきをワイヤーで短期治療

前歯のがたつきをワイヤーで短期治療 ビフォー 前歯のがたつきをワイヤーで短期治療 アフター

上の前歯のがたつきを治したいという主訴で来院されました。

この症例の詳細

抜歯矯正で口元のコンプレックスを改善

抜歯矯正で口元のコンプレックスを改善 ビフォー 抜歯矯正で口元のコンプレックスを改善 アフター

前歯が出ているのが気になり来院されました。

この症例の詳細

ワイヤー矯正の注意事項(リスク・副作用など)

無料相談予約

Reservation

日本歯科医療評価機構