目立ちにくいクリア装置で八重歯とがたつきの改善
治療概要
- 患者様
- 20代男性
- 治療期間
- 1年5ヶ月
- 概算治療費
- 60万円(税込)
※費用は治療当時の料金となります
治療動機
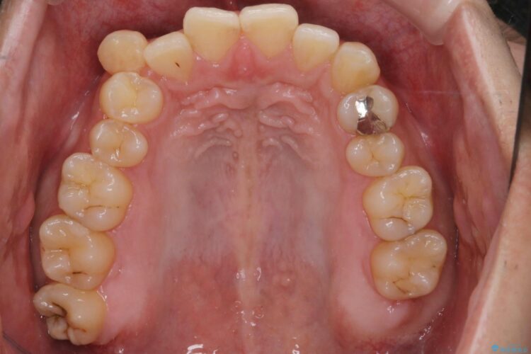
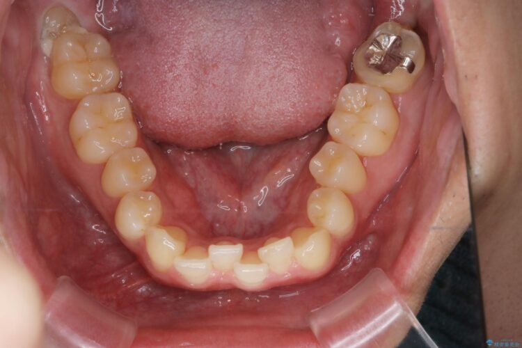
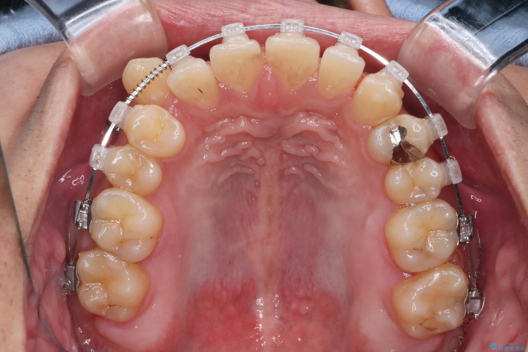
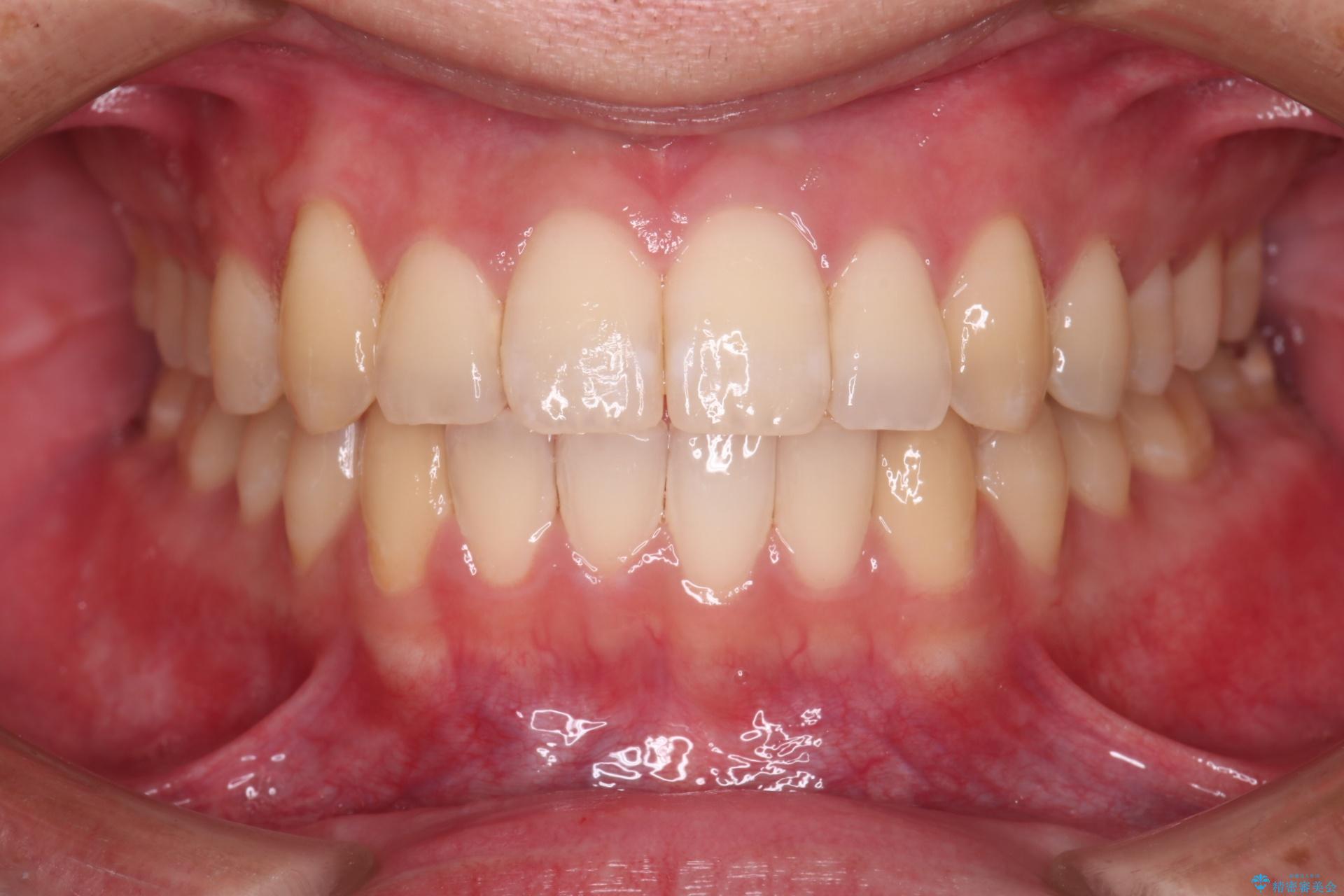
上の八重歯と下の歯のがたつきが気になるとご来院された患者様です。
治療計画
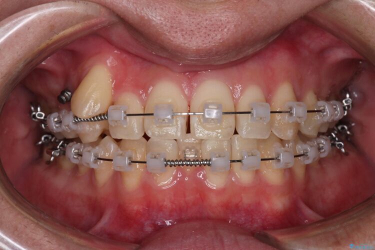
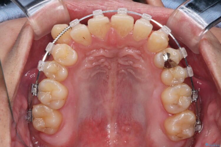
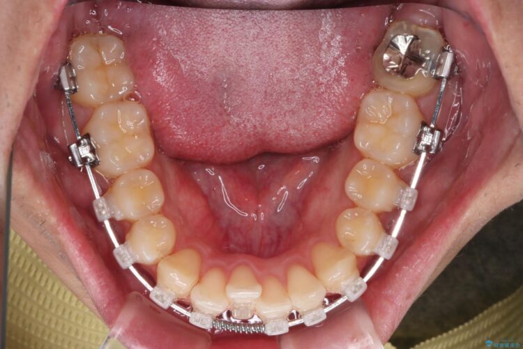
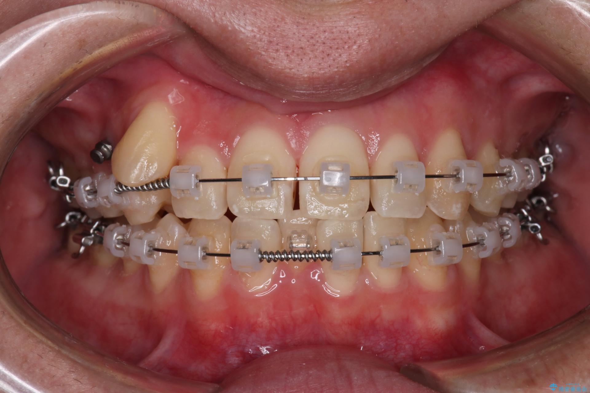
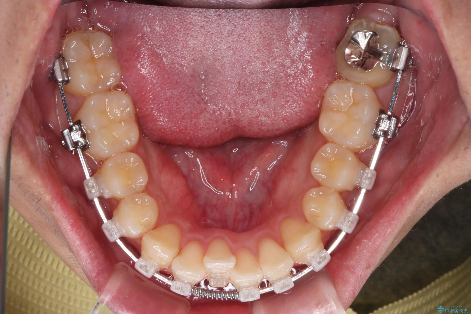
精密検査の結果、抜歯の必要はないと判断しました。臼歯を遠心移動させ、歯列をワイヤーで整えることでスペースを確保し、IPR(歯と歯の間を削る処置)を加えて歯並びを綺麗にする治療計画を立てました。
歯の移動にオープンコイルとMI(歯肉に埋入するネジ)を用いました。
治療後について
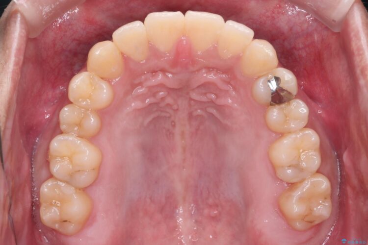
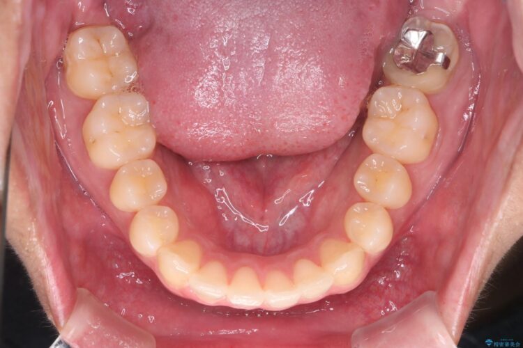
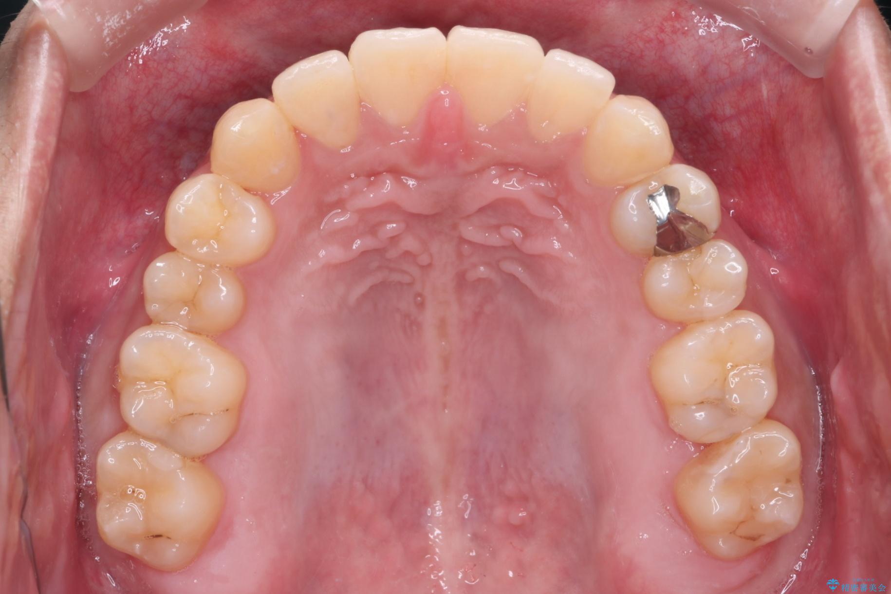
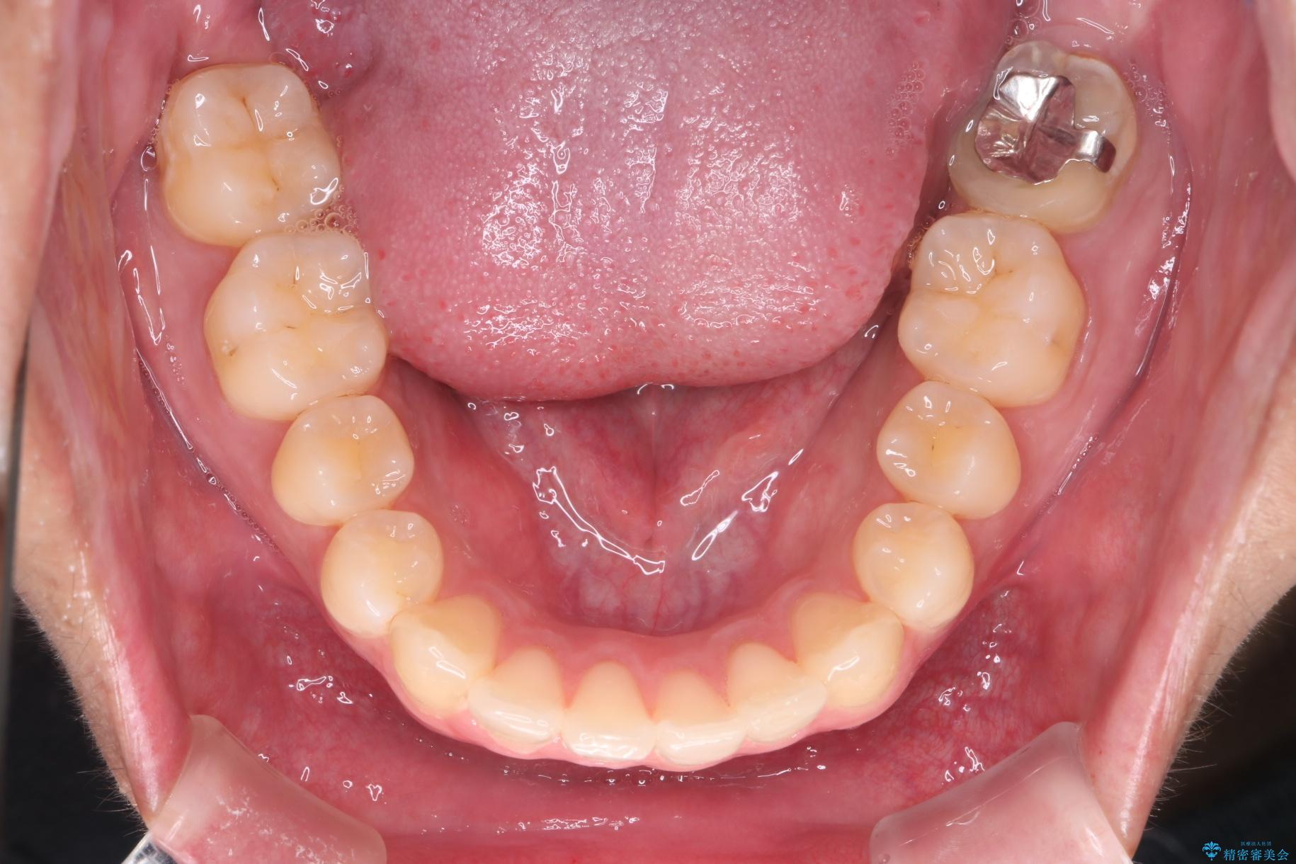
非抜歯での治療だったため、1年半以内という短い期間で矯正を終了することができました。主訴であった八重歯とがたつきが改善され、大変ご満足いただきました。
- 治療中は違和感や痛みが起こることがあります
- 症状により、抜歯が必要な場合があります
- 治療中は歯磨きがしにくくなるため、虫歯や歯周病になりやすくなります
- 矯正治療後の保定が不十分だと後戻り(元の位置に戻ろうとする動き)をします
- 自費診療(保険適用外)となります









