八重歯とがたつきを審美ワイヤーで治す
治療概要
- 患者様
- 20代女性
- 治療期間
- 1年
- 概算治療費
- 78.1万円(税込)
※費用は治療当時の料金となります
治療動機
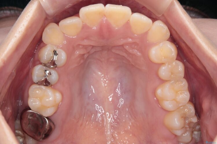
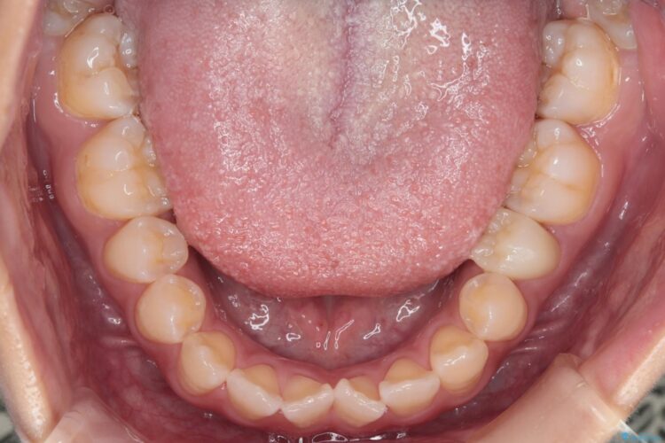
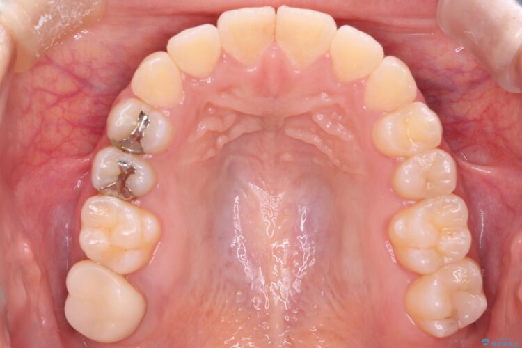
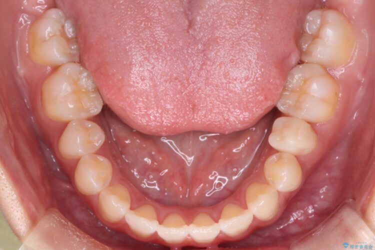
八重歯とガタつきが気になるとご来院された患者様です。
治療計画
精密検査の結果、抜歯はせずIPR(歯と歯の間を削る処置)を行い、目立ちにくい審美ワイヤー装置にて歯列拡大を行うことで歯列を整える治療計画を立てました。
治療後について
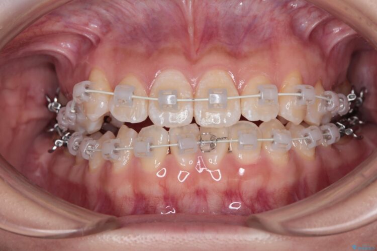
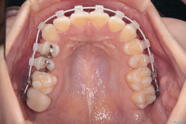
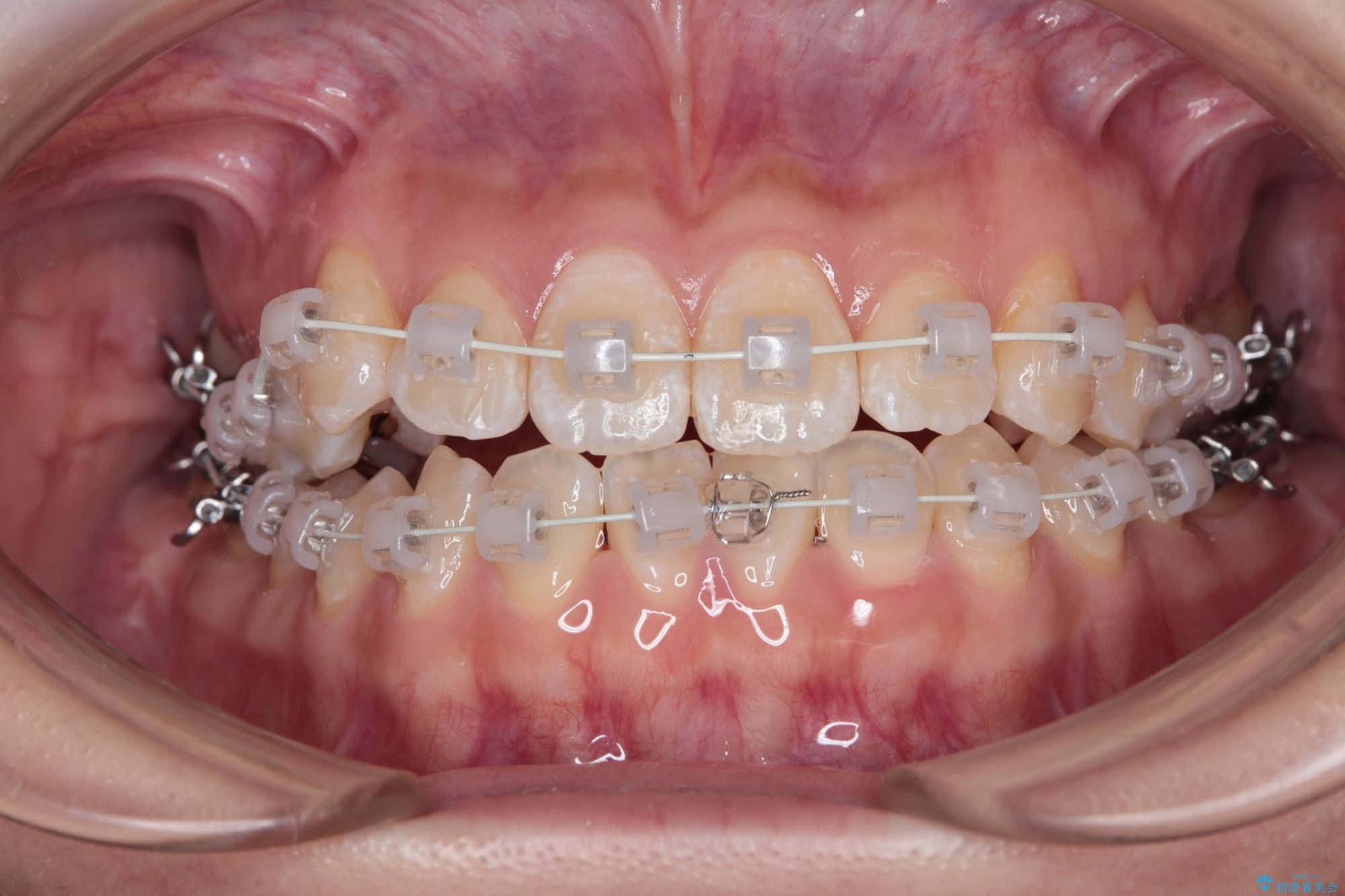
右側の八重歯の部分は噛み合わせをよくするためにゴム掛けを行いました。
また、セラミックと銀歯の部分は装置が脱離してしまうので、矯正用の仮歯に変えて治療を行いました。
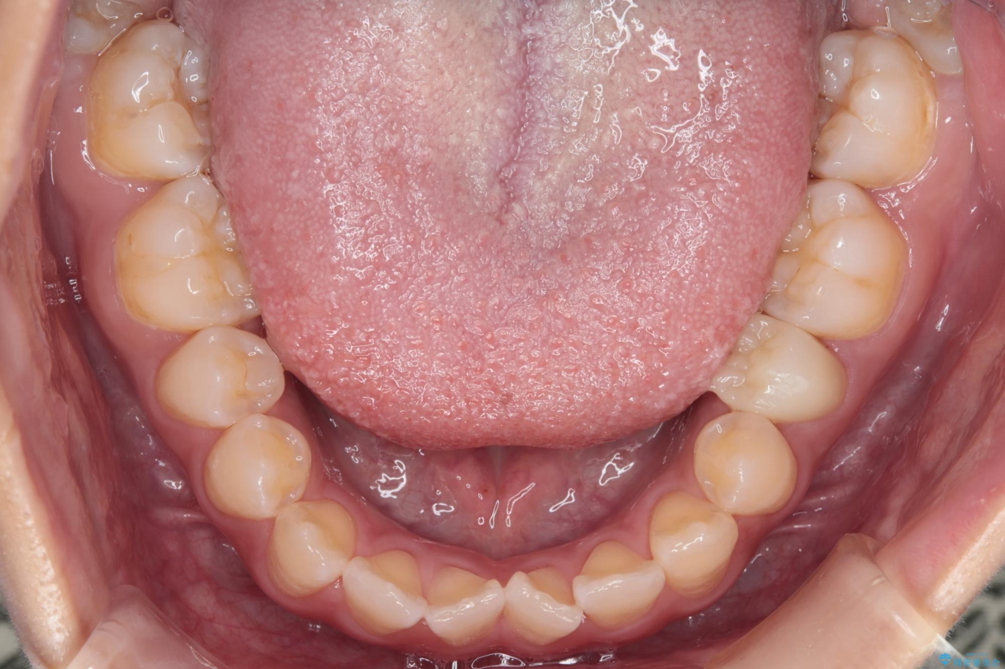
予定通り1年で気になっていた八重歯とガタつきが改善され、大変喜んでいただけました。
- 治療中は違和感や痛みが起こることがあります
- 症状により、抜歯が必要な場合があります
- 治療中は歯磨きがしにくくなるため、虫歯や歯周病になりやすくなります
- 矯正治療後の保定が不十分だと後戻り(元の位置に戻ろうとする動き)をします
- 自費診療(保険適用外)となります









