電話番号をタップしてください

×

最新の症例一覧

Cases

最新の症例

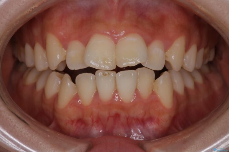
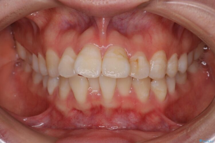
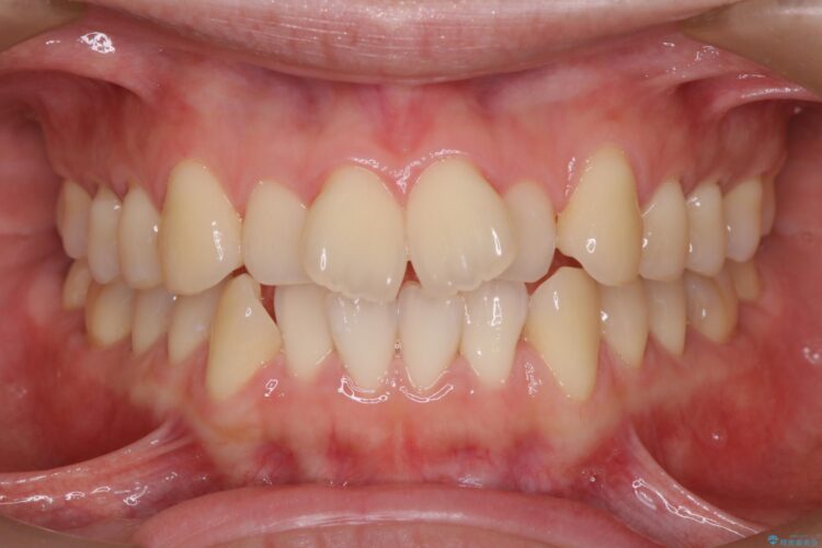
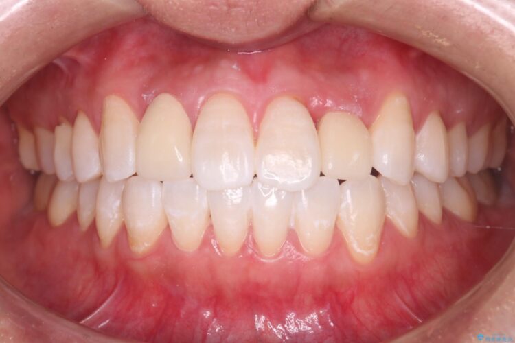
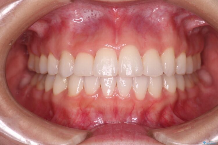
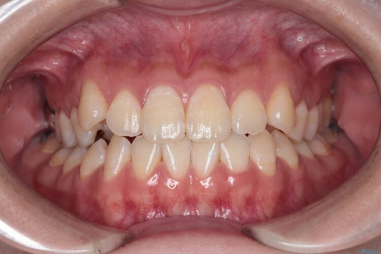
突出した前歯をインビザラインで改善

突出した前歯をインビザラインで改善 ビフォー 突出した前歯をインビザラインで改善 アフター

突出した前歯が気になるとご来院されました。

この症例の詳細

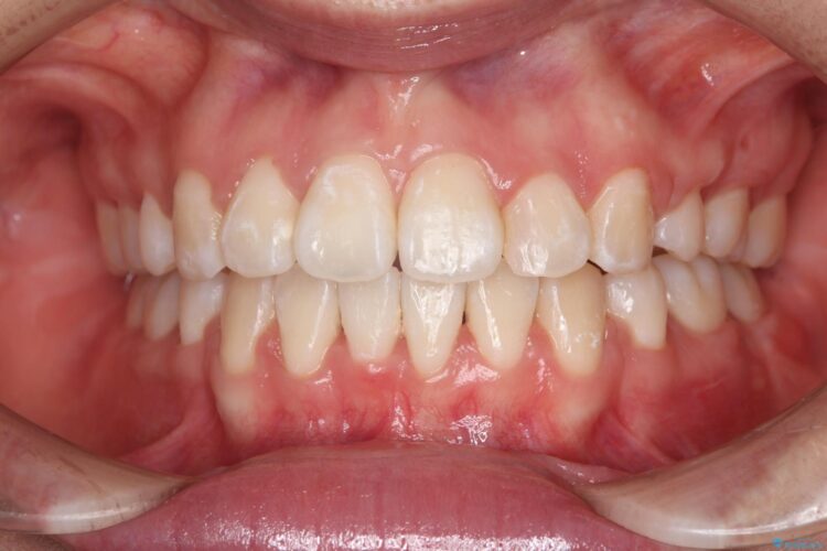
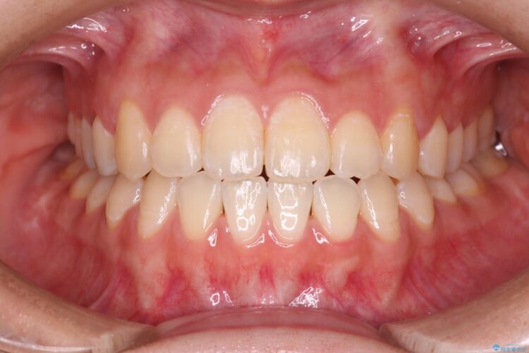
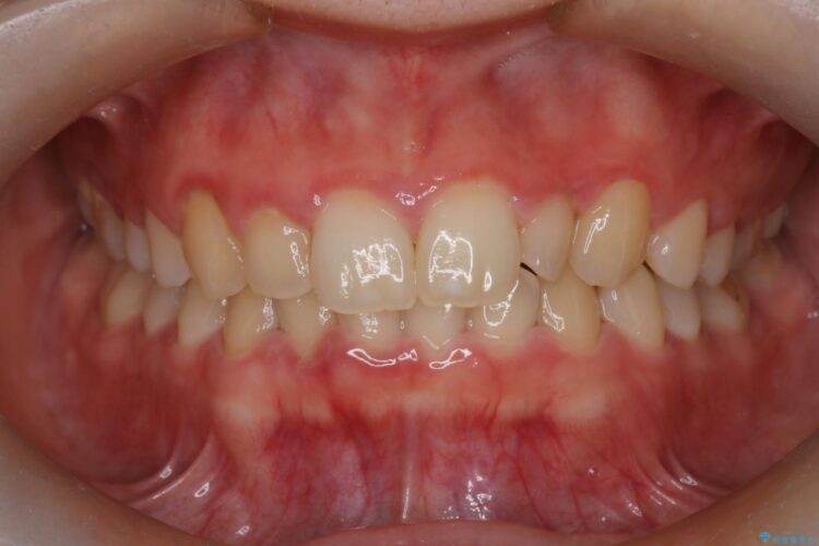
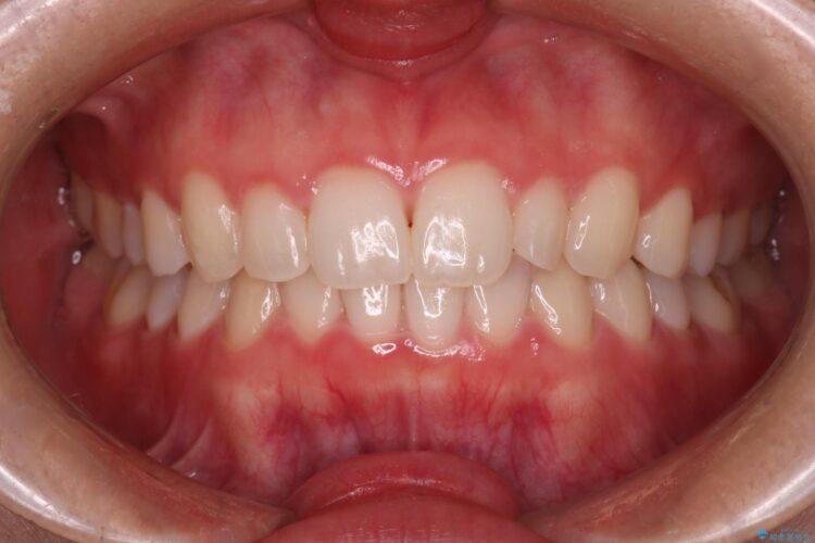
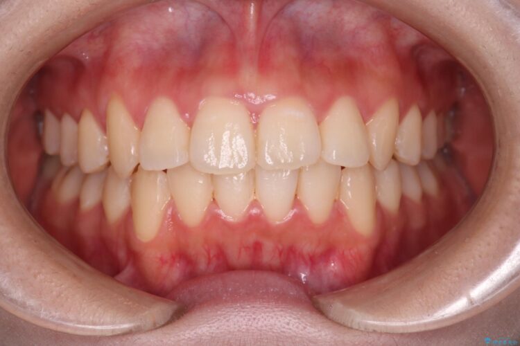
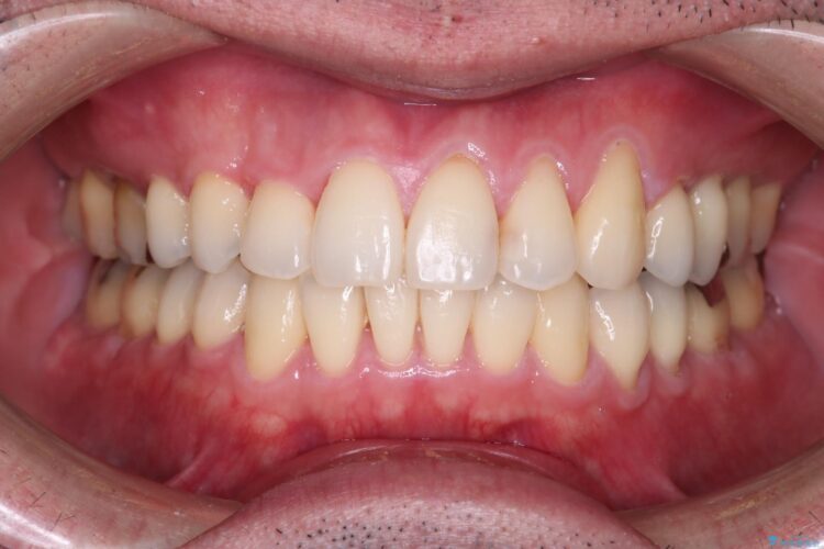
セラミック治療前にホワイトニング

セラミック治療前にホワイトニング ビフォー セラミック治療前にホワイトニング アフター

前歯をセラミックにするので、歯を白くしたいとご来院されました。

この症例の詳細

インビザラインとセラミックで前歯を美しく

インビザラインとセラミックで前歯を美しく ビフォー インビザラインとセラミックで前歯を美しく アフター

前歯の叢生と口元を下げたいとのことでご来院されました。

この症例の詳細

インビザラインで前歯のガタつきを綺麗に

インビザラインで前歯のガタつきを綺麗に ビフォー インビザラインで前歯のガタつきを綺麗に アフター

下の前歯のガタつきと正中のズレが気になるとご来院された患者様です。

この症例の詳細

抜歯矯正で口元を下げる

抜歯矯正で口元を下げる ビフォー 抜歯矯正で口元を下げる アフター

前歯のガつきと口元が出ていることを気にされご来院された患者様です。

この症例の詳細

気になる前歯のねじれをインビザラインで改善

気になる前歯のねじれをインビザラインで改善 ビフォー 気になる前歯のねじれをインビザラインで改善 アフター

上の前歯のねじれが気になるとご来院された患者様です。

この症例の詳細

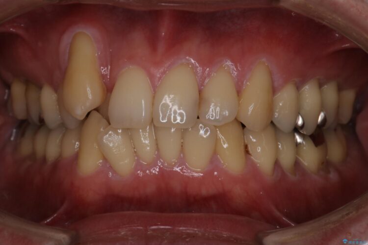
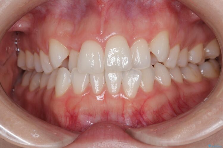
オールセラミッククラウンで歯の色を合わせたい

オールセラミッククラウンで歯の色を合わせたい ビフォー オールセラミッククラウンで歯の色を合わせたい アフター

他院で治療した前歯の色が気になるとご来院された患者様です。

この症例の詳細

コンビネーション矯正でがたつきと噛み合わせを改善

コンビネーション矯正でがたつきと噛み合わせを改善 ビフォー コンビネーション矯正でがたつきと噛み合わせを改善 アフター

下の歯のガタつきが気になるとご来院された患者様です。

この症例の詳細

気になる出っ歯とガタつきの改善

気になる出っ歯とガタつきの改善 ビフォー 気になる出っ歯とガタつきの改善 アフター

上の前歯が出ていること、がたつきが気になることを主訴にご来院されました。

この症例の詳細

はじめてのオフィスホワイトニング

はじめてのオフィスホワイトニング ビフォー はじめてのオフィスホワイトニング アフター

歯を白くしたいとご来院されました。

この症例の詳細

無料相談予約

Reservation

日本歯科医療評価機構