セラミック治療前にホワイトニング
治療概要
- 患者様
- 30代女性
- 治療期間
- 1日
- 概算治療費
- 29,700円(税込)
※費用は治療当時の料金となります
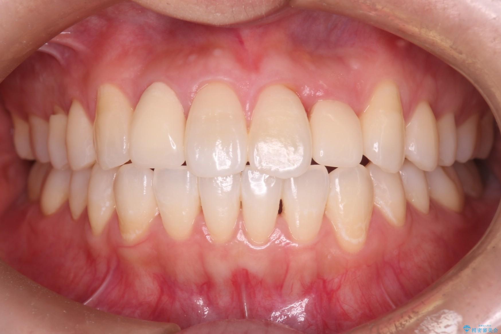
治療動機
前歯をセラミックにするので、歯を白くしたいとご来院されました。
治療計画
以前からホームホワイトニングをやっておりある程度白い状態からの施術でした。
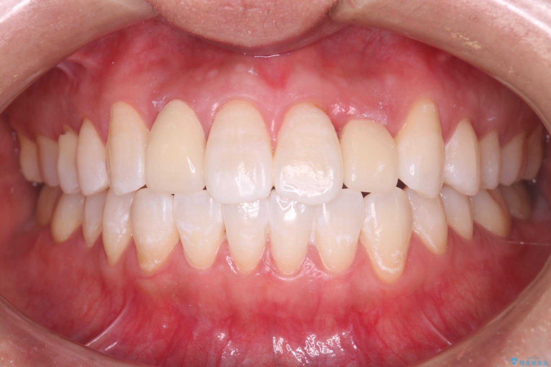
治療後について
全体的なトーンアップを実現し、患者様にも大変喜んでいただけました。施術直後は一時的に色むらが強調されることがありますが、数日で自然になじんで白さが落ち着きます。
この輝くような白さを長く楽しんでいただくために、ご自宅でのホームホワイトニングの併用をご提案しました。
- 知覚過敏が出ることがあります
- ホワイトバンドや白い斑点が出ることがあります
- クラウンやインレー等の補綴物には効果がありません
- ホワイトニングによる効果や持続期間には個人差があります
- 歯牙の状態によっては適応できないことがあります
- 保険適用外となります


