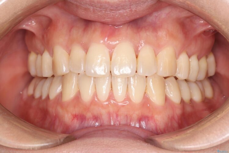
気になる前歯のねじれをインビザラインで改善
治療概要
- 患者様
- 30代女性
- 治療期間
- 1年
- 概算治療費
- 52.8万円
※費用は治療当時の料金となります
治療動機
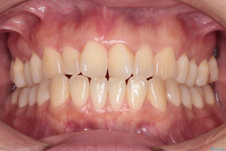
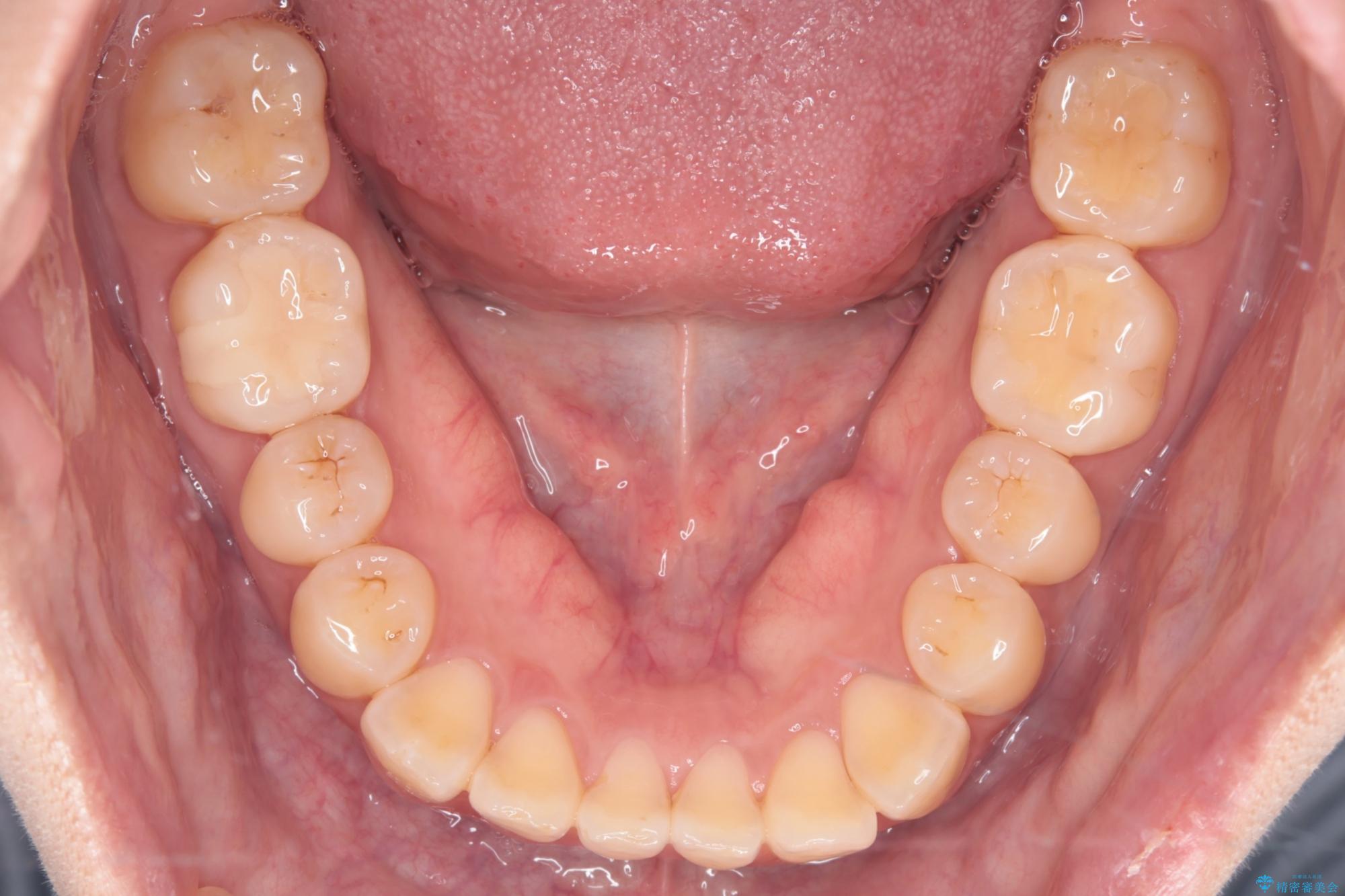
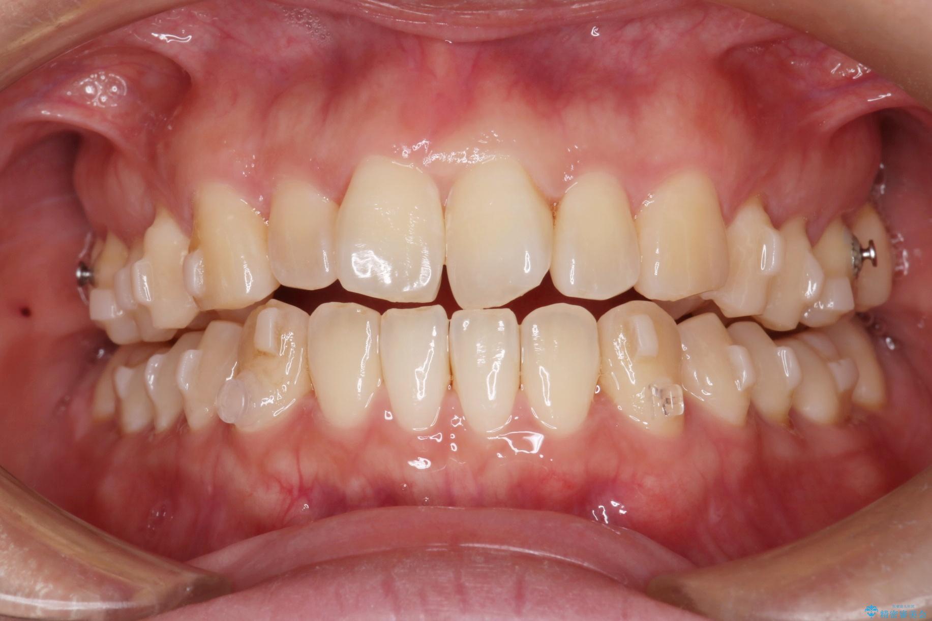
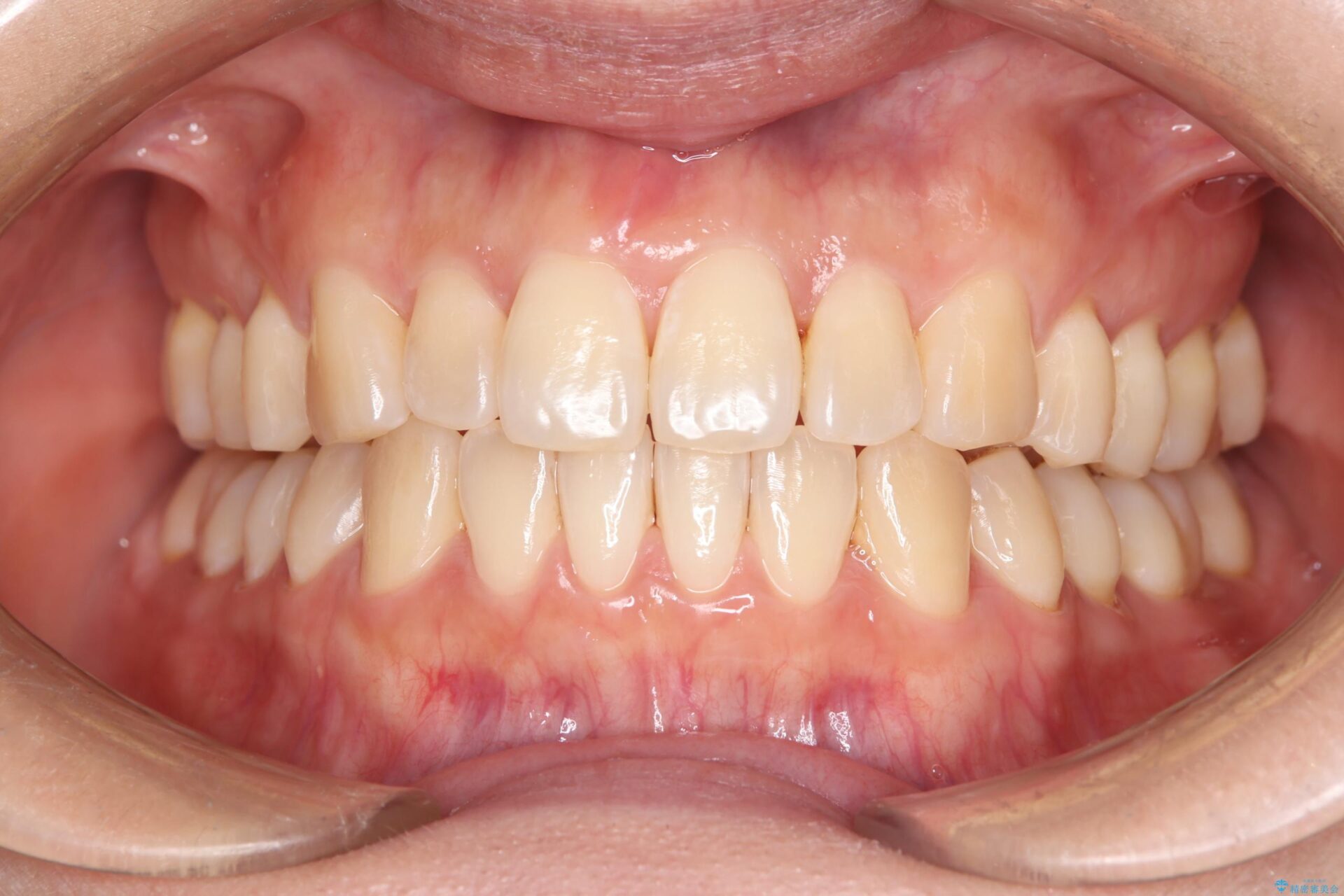
上の前歯のねじれが気になるとご来院された患者様です。
治療計画
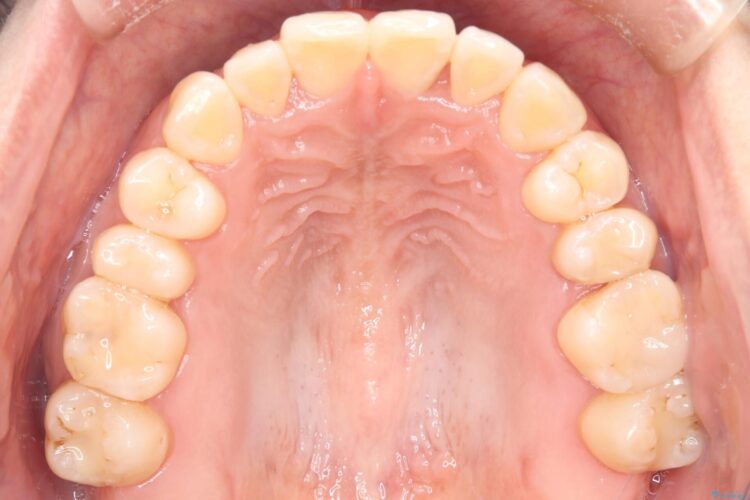
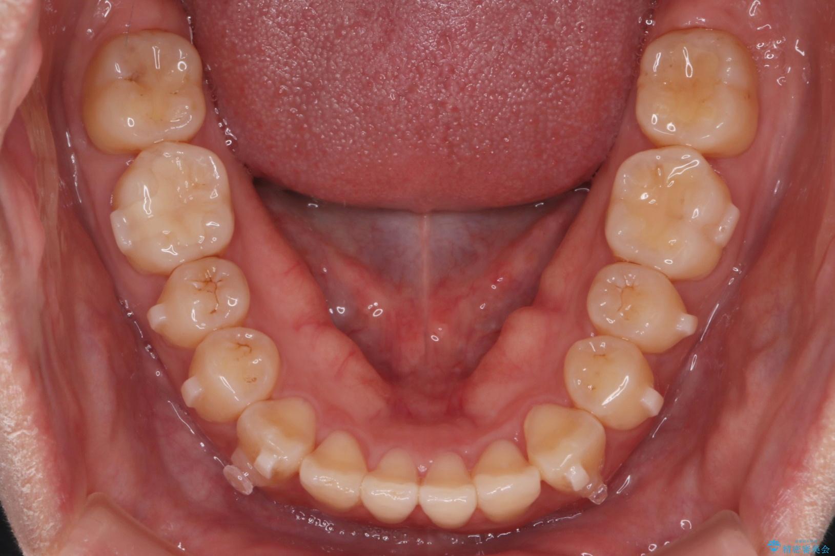
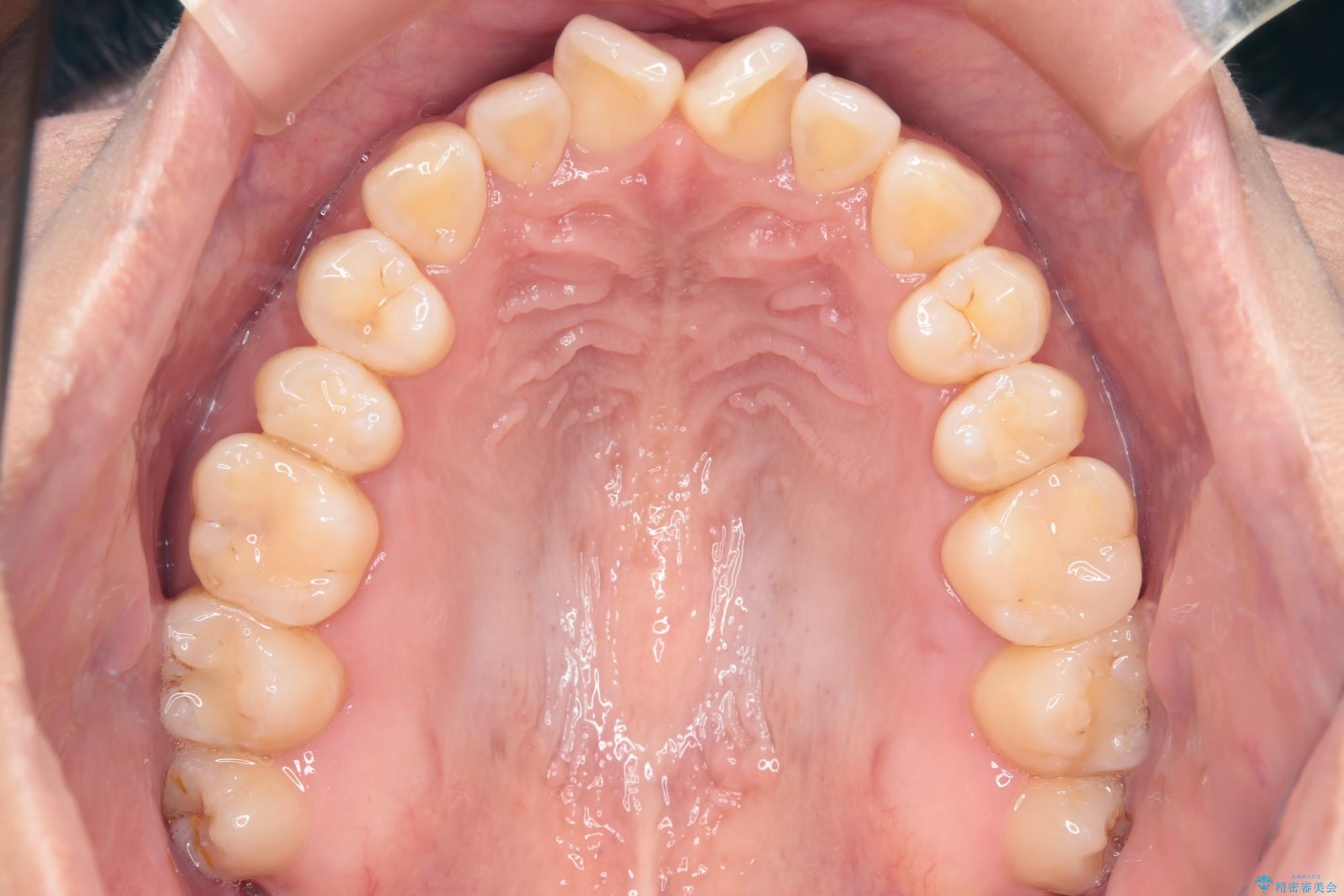
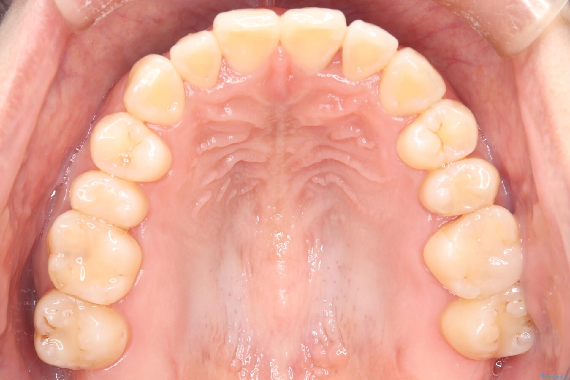
前歯の捻れとがたつきを改善するために、IPR(歯と歯の間を削る処置)と歯列拡大をすることで歯並びを整えていく治療計画を立てました。
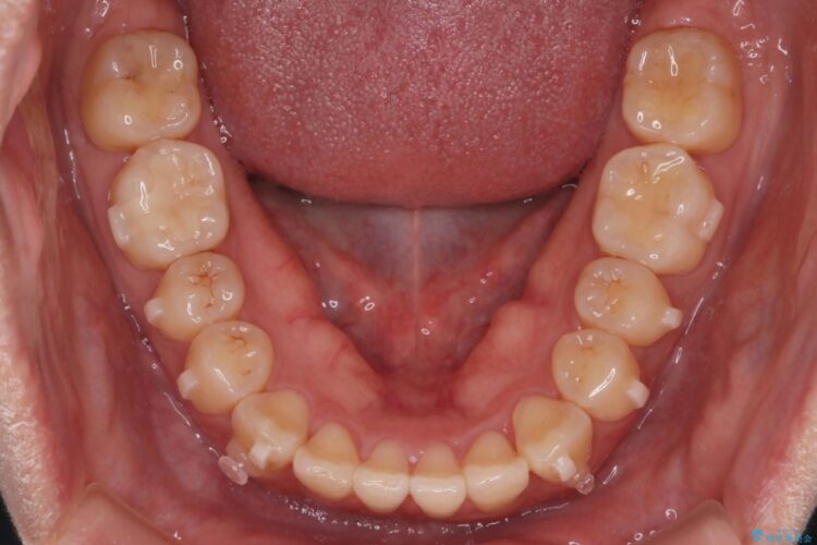
治療後について
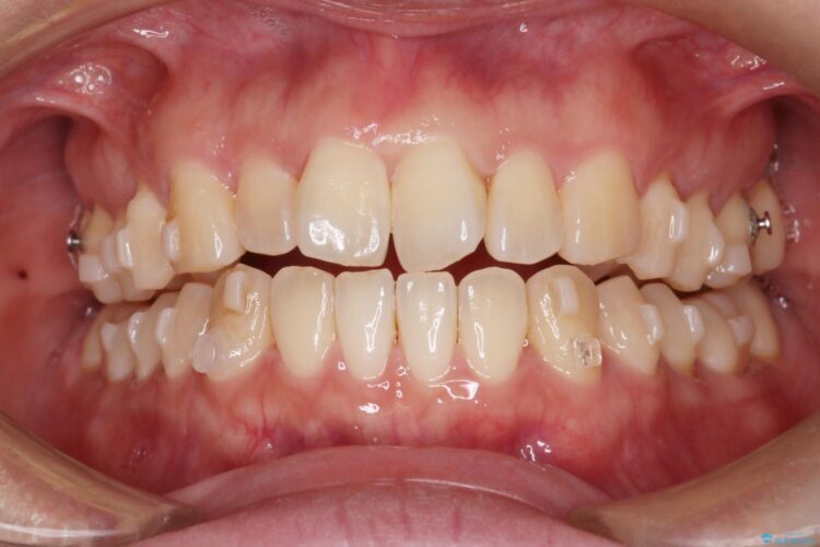
かみ合わせを整えるためにゴム掛けも併用して治療を行いました。
患者様にマウスピースの使用とゴム掛けを頑張っていただいたおかげでリファイメント(マウスピースの再発注)も1回で終了することができました。
- 口腔内・歯並びの状態によっては対応できない場合があります
- マウスピース型矯正装置の長時間装着(1日20時間以上)が必須です
- 治療計画通りに進めるためには、患者様の意志が重要になります
- 矯正治療後の保定が不十分だと後戻り(元の位置に戻ろうとする動き)をします
- 薬機法対象外の矯正歯科装置のため医薬品副作用被害救済制度の対象外となる場合があります
- 自費診療(保険適用外)となります









