審美装置で前歯のデコボコを改善
治療概要
- 患者様
- 20代女性
- 治療期間
- 2年2ヶ月
- 概算治療費
- 93.5万円(税込)
※費用は治療当時の料金となります
治療動機
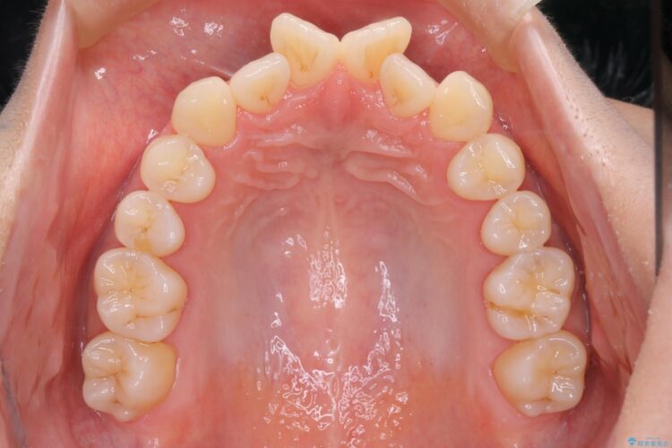
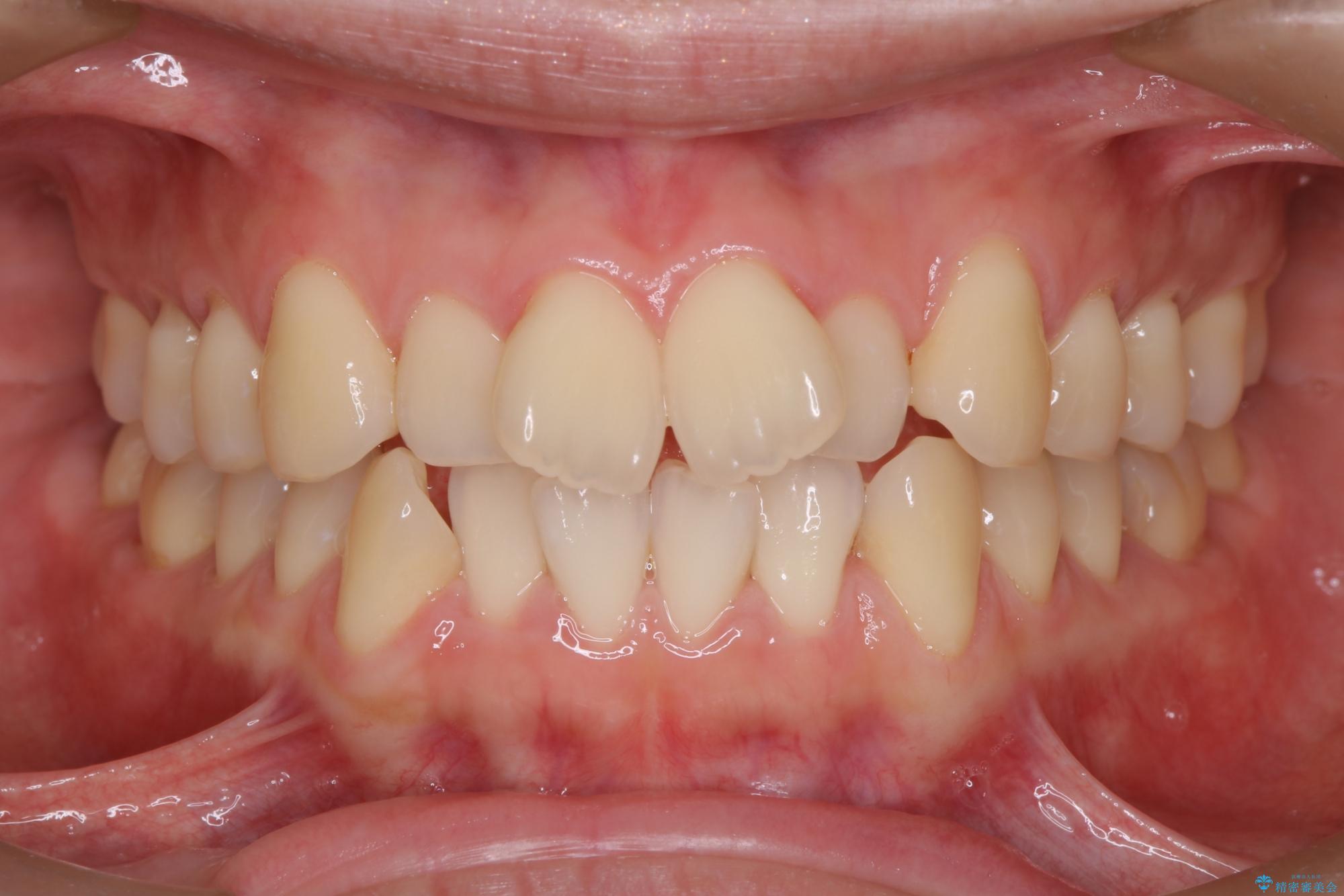
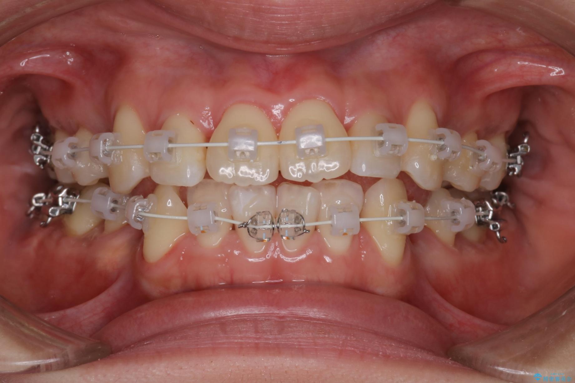
上の前歯のデコボコを主訴にご来院された患者様です。
治療計画
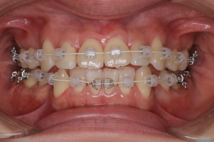
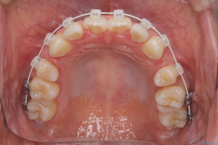
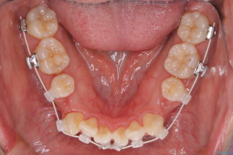
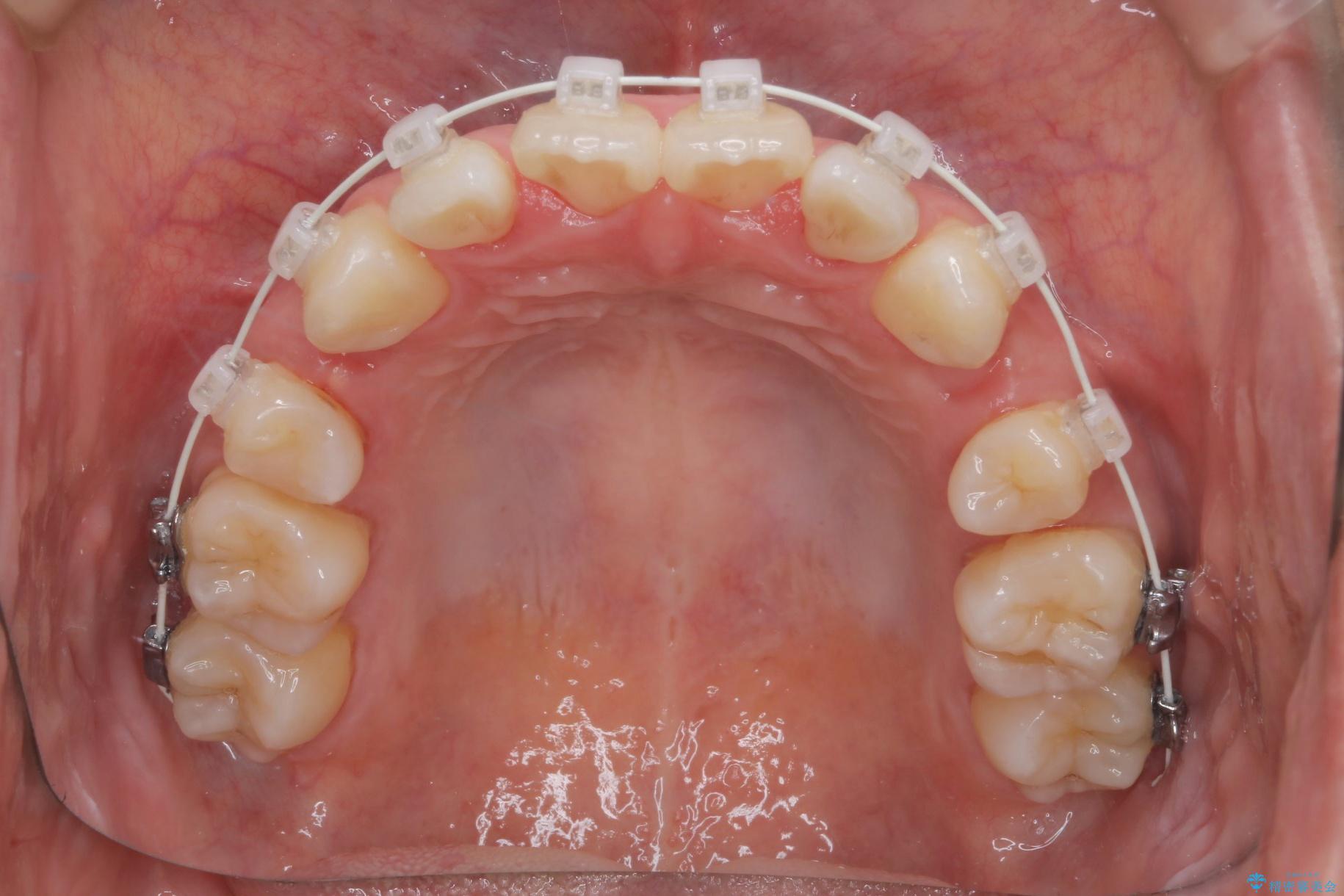
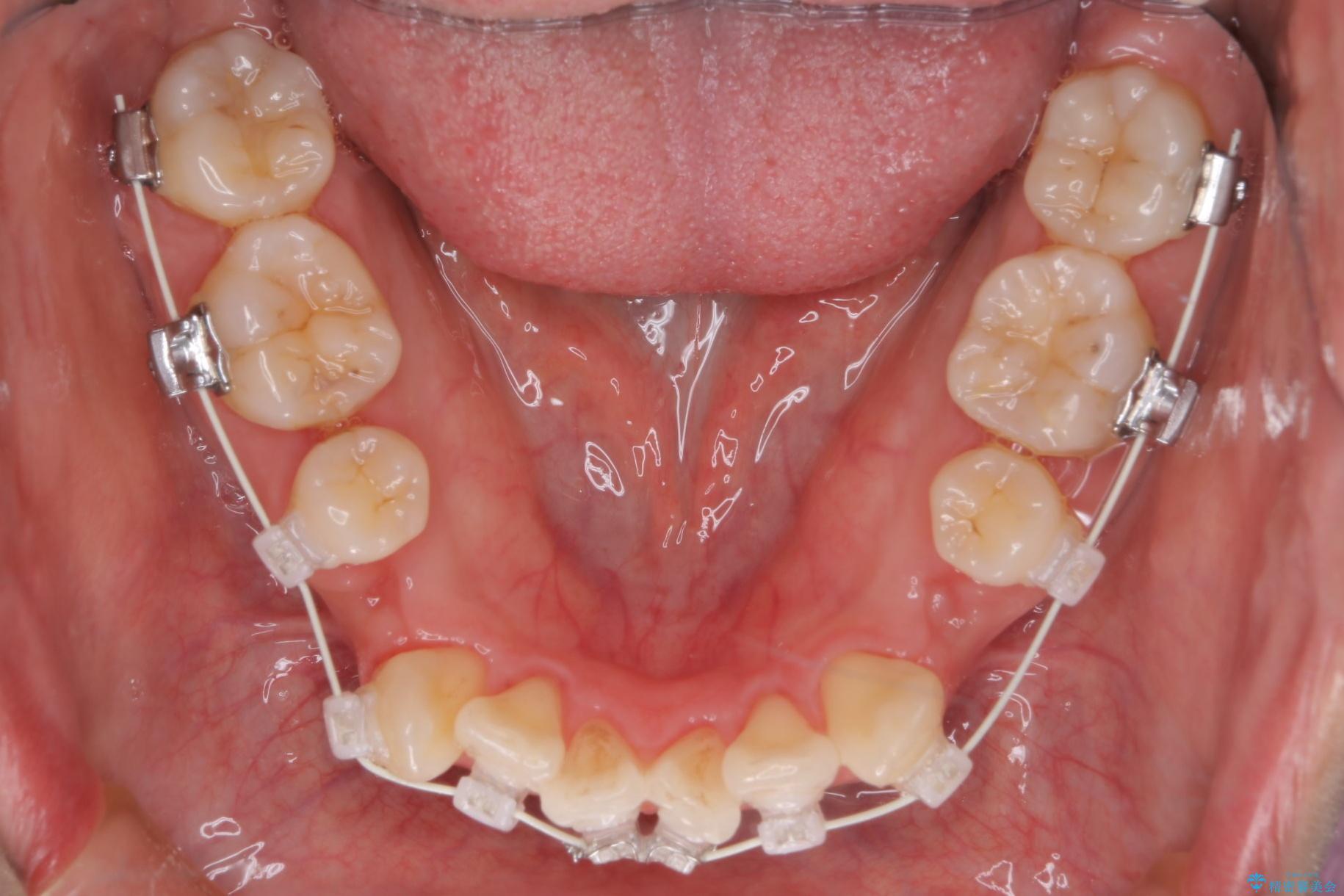
重度の叢生が認められたため、上下左右4番目の歯を抜歯しワイヤー矯正治療を行いました。
治療後について
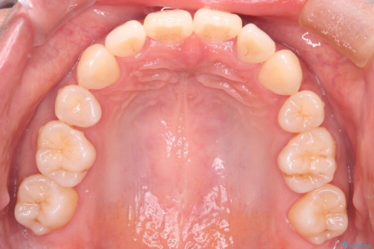
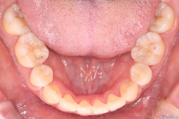
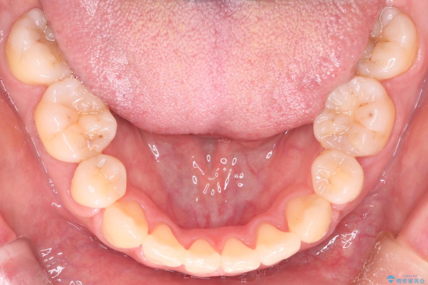
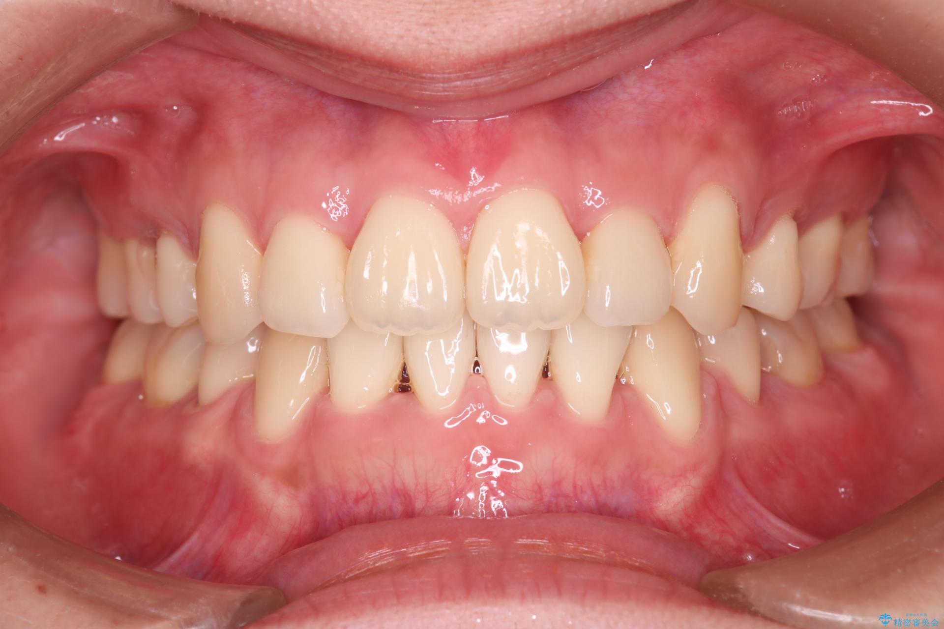
前歯のデコボコが改善され、噛みあわせも綺麗になりました。
歯肉退縮もなく、予定通りに治療を終えることができ大変ご満足いただけました。
- 治療中は違和感や痛みが起こることがあります
- 症状により、抜歯が必要な場合があります
- 治療中は歯磨きがしにくくなるため、虫歯や歯周病になりやすくなります
- 矯正治療後の保定が不十分だと後戻り(元の位置に戻ろうとする動き)をします
- 自費診療(保険適用外)となります









