非抜歯で八重歯の改善
治療概要
- 患者様
- 20代女性
- 治療期間
- 1年4ヶ月
- 概算治療費
- 82.1万円(税込)
※費用は治療当時の料金となります
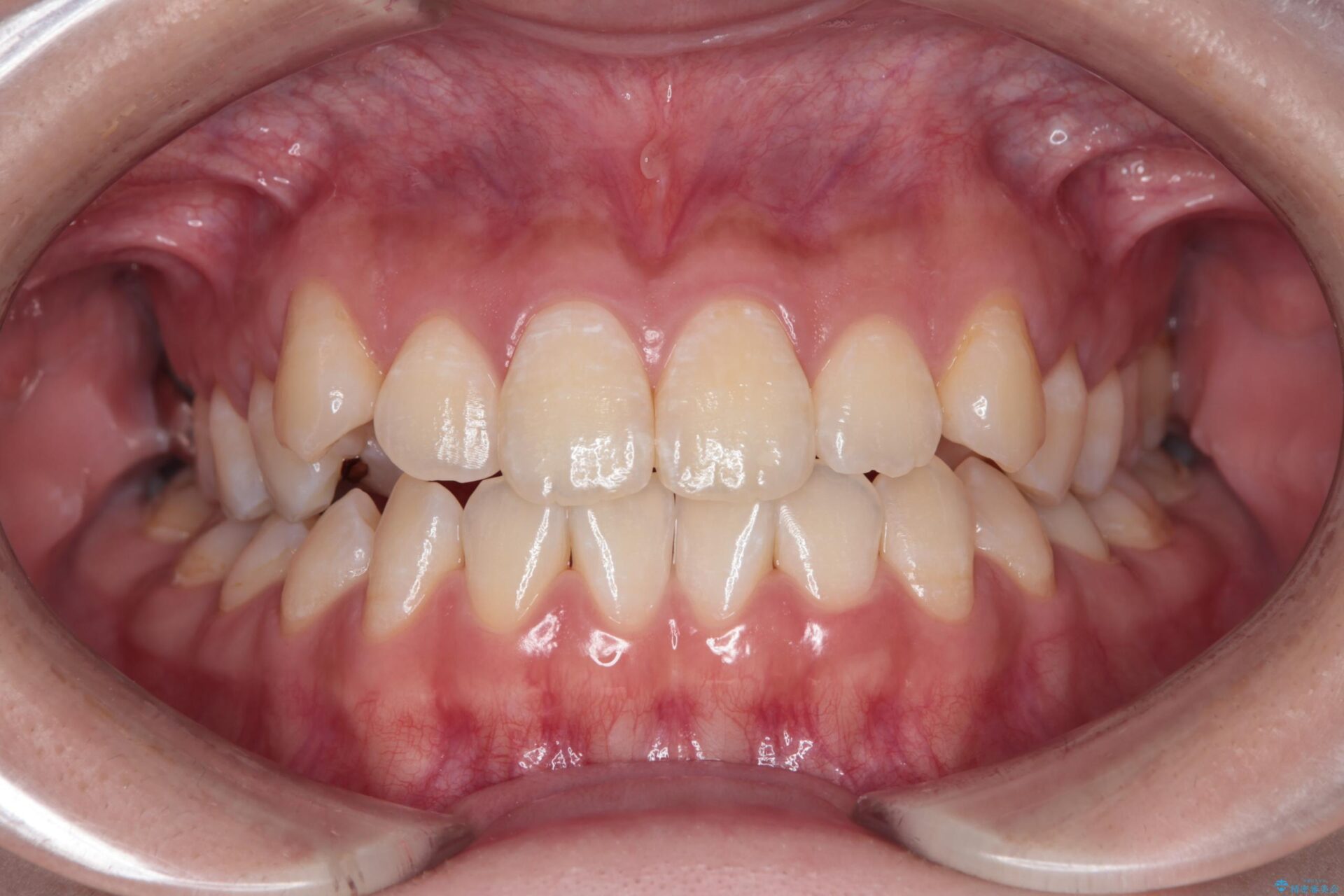
治療動機
上の八重歯が気になるとご来院された患者様です。
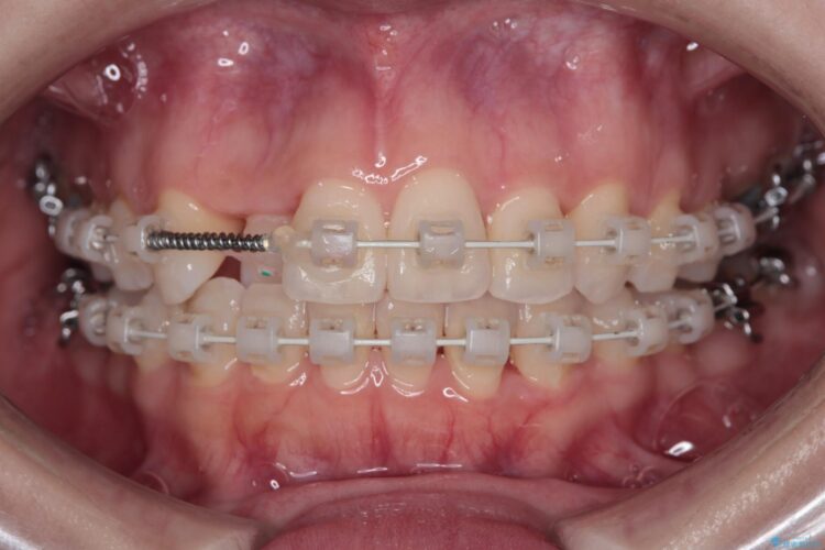
治療計画
上の親知らずを抜歯し、リンガルアーチを用いて臼歯遠心移動しながらIPR(歯と歯を削る処置)を行いスペースを確保し、歯並びを整えていく治療計画を立てました。
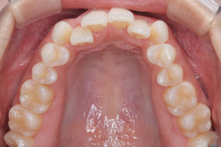
治療後について
リンガルアーチを用いて遠心移動を行なったことで、抜歯せずに八重歯が改善され綺麗な歯並びになりました。
治療期間も1年4ヶ月という短期間で終了することができ、大変喜んでいただけました。
- 治療中は違和感や痛みが起こることがあります
- 症状により、抜歯が必要な場合があります
- 治療中は歯磨きがしにくくなるため、虫歯や歯周病になりやすくなります
- 矯正治療後の保定が不十分だと後戻り(元の位置に戻ろうとする動き)をします
- 自費診療(保険適用外)となります









