はじめてのオフィスホワイトニング
治療概要
- 患者様
- 20代男性
- 治療期間
- 1日
- 概算治療費
- 29700円
※費用は治療当時の料金となります
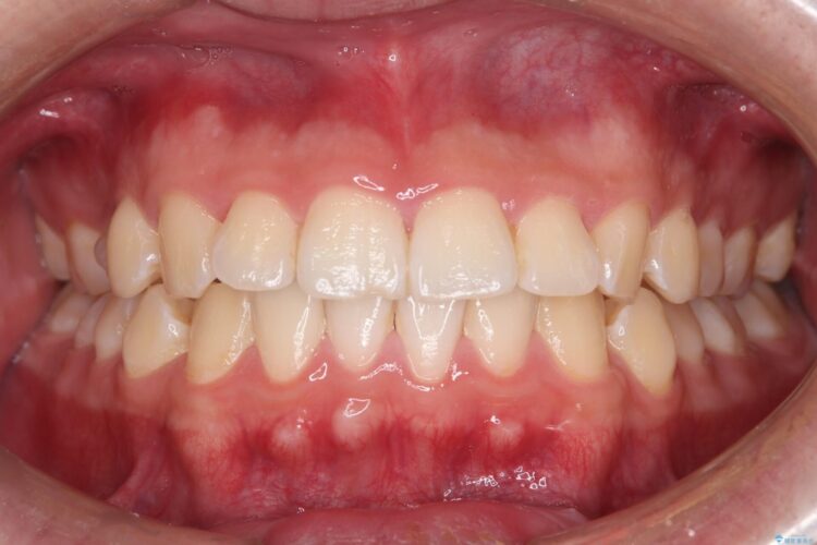
治療動機
歯を白くしたいとご来院されました。
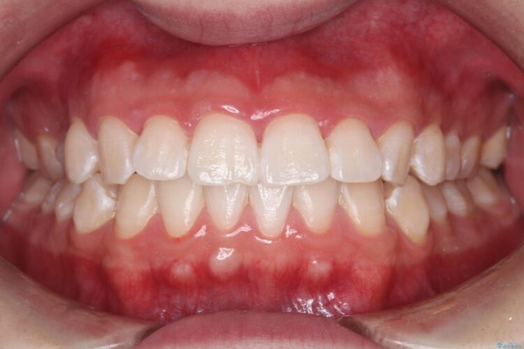
治療計画
初めてホワイトニングをするということで、1回でできる限り白くするオフィスホワイトニングとホームホワイトニングを併用するデュアルホワイトニングをおすすめしました。
施術後に知覚過敏と色むらが出る可能性も説明しています。
治療後について
オフィスホワイトニングのみでもかなり白くなりましたが、安定した結果を得るためにホームホワイトニングも今後行っていく予定です。
- 知覚過敏が出ることがあります
- ホワイトバンドや白い斑点が出ることがあります
- クラウンやインレー等の補綴物には効果がありません
- ホワイトニングによる効果や持続期間には個人差があります
- 歯牙の状態によっては適応できないことがあります
- 保険適用外となります


