気になる出っ歯とガタつきの改善
治療概要
- 患者様
- 30代女性
- 治療期間
- 8ヶ月
- 概算治療費
- 52.8万円
※費用は治療当時の料金となります
治療動機
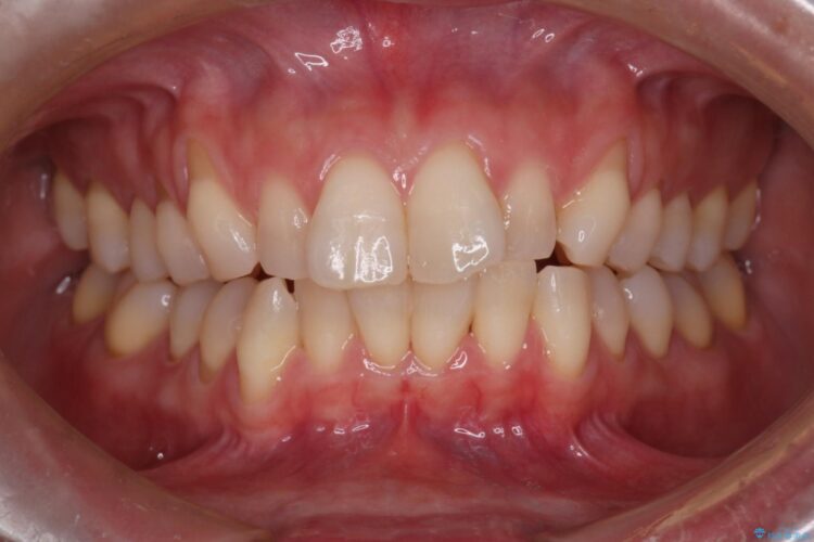
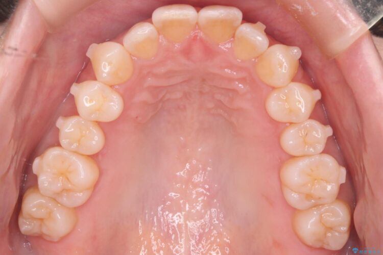
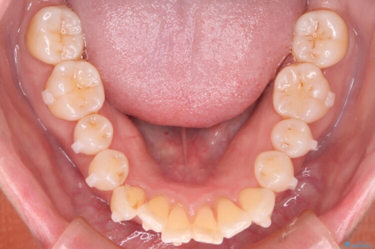
上の前歯が出ていること、がたつきが気になることを主訴にご来院されました。
治療計画
精密検査の結果、マウスピースでの治療が可能と判断したため、インビザラインで治療を行いました。
インビザラインにて、歯列を拡大しながらがたつきを改善する治療計画を立てました。
治療後について
患者様がお忙しいということもあり、1枚のマウスピースを通常より長めに使用していただくことにしました。
そのため少し治療期間が延びましたが、マウスピースの再発注をすることなく治療を終えることができました。
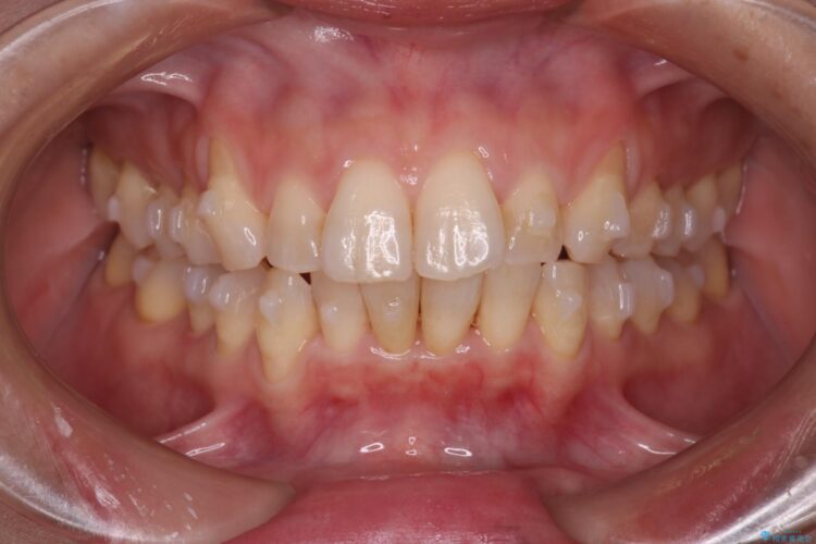
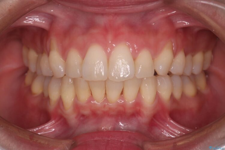
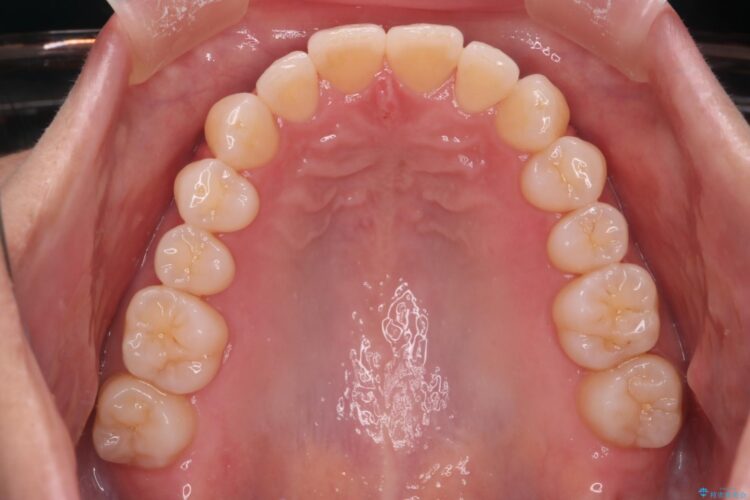
気にされていた前歯のがたつきが改善され、きれいな歯並びになり、大変ご満足いただけました。
- 口腔内・歯並びの状態によっては対応できない場合があります
- マウスピース型矯正装置の長時間装着(1日20時間以上)が必須です
- 治療計画通りに進めるためには、患者様の意志が重要になります
- 矯正治療後の保定が不十分だと後戻り(元の位置に戻ろうとする動き)をします
- 薬機法対象外の矯正歯科装置のため医薬品副作用被害救済制度の対象外となる場合があります
- 自費診療(保険適用外)となります









