コンビネーション矯正でがたつきと噛み合わせを改善
治療概要
- 患者様
- 20代女性
- 治療期間
- 1年6ヶ月
- 概算治療費
- 66万円
※費用は治療当時の料金となります
治療動機
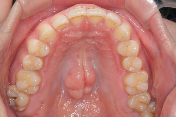
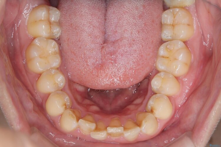
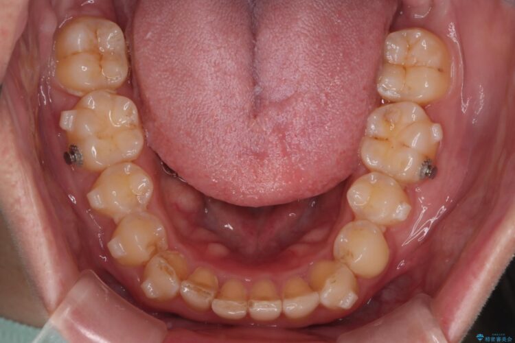
下の歯のガタつきが気になるとご来院された患者様です。
治療計画
下の歯のがたつきと右の奥歯の噛みあわせ改善する治療計画を立てました。
まず右側臼歯部の咬合改善のために、臼歯部のみ部分的なワイヤー矯正を行い、咬合改善がみられてからインビザラインにて全体的な矯正を行なっていくこととします。
治療後について
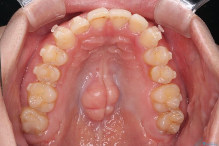
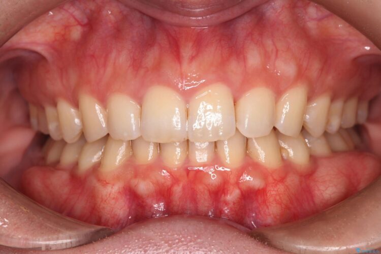
噛み合わせをよくするために、ワイヤー矯正とインビザライン矯正のどちらの期間も必要な箇所にゴム掛けを行いながら治療を行いました。
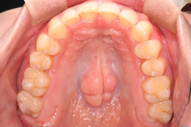
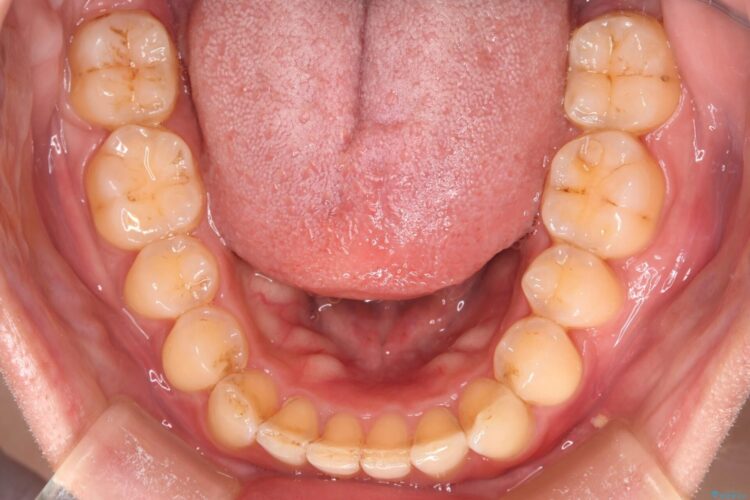
下の前歯のがたつき改善にはIPR(歯と歯の間を削る処置)を行いました。
ゴム掛けを頑張っていただいたので、噛みあわせも改善され綺麗な歯並びになりました。
- 治療中は違和感や痛みが起こることがあります
- 症状により、抜歯が必要な場合があります
- 治療中は歯磨きがしにくくなるため、虫歯や歯周病になりやすくなります
- 矯正治療後の保定が不十分だと後戻り(元の位置に戻ろうとする動き)をします
- 自費診療(保険適用外)となります
ワイヤー矯正の注意事項(リスク・副作用など)
- 口腔内・歯並びの状態によっては対応できない場合があります
- マウスピース型矯正装置の長時間装着(1日20時間以上)が必須です
- 治療計画通りに進めるためには、患者様の意志が重要になります
- 矯正治療後の保定が不十分だと後戻り(元の位置に戻ろうとする動き)をします
- 薬機法対象外の矯正歯科装置のため医薬品副作用被害救済制度の対象外となる場合があります
- 自費診療(保険適用外)となります









