インビザラインで前歯のガタつきを綺麗に
治療概要
- 患者様
- 20代女性
- 治療期間
- 2年
- 概算治療費
- 69.3万円
※費用は治療当時の料金となります
治療動機
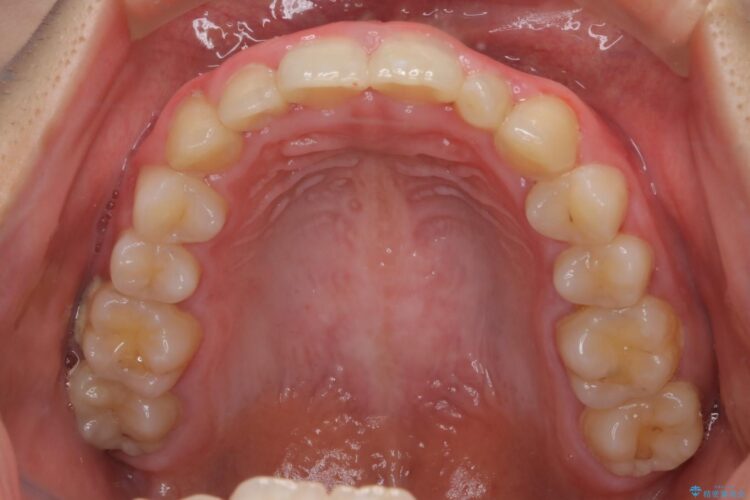
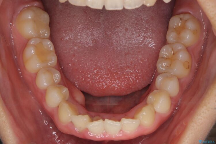
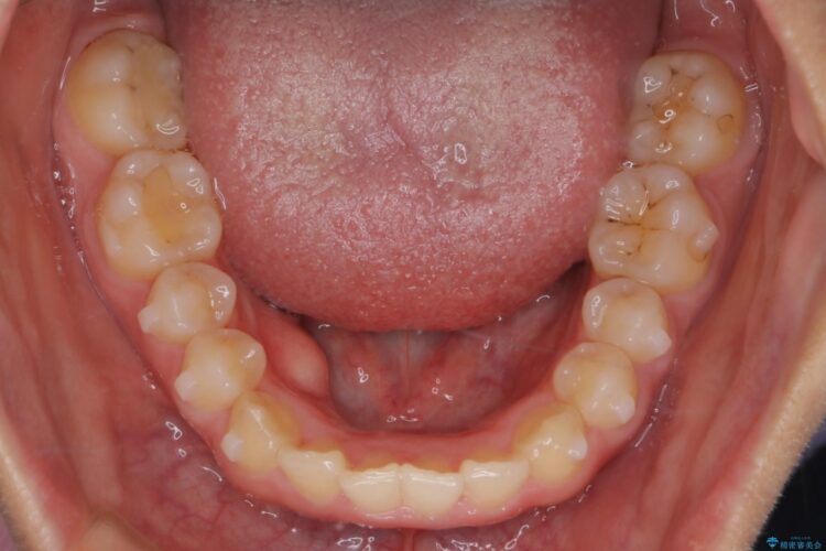
下の前歯のガタつきと正中のズレが気になるとご来院された患者様です。
治療計画
軽度のガタつきだあったのと、かみ合わせがやや深かったため、インビザラインで治療を行うこととしました。
IPR(歯と歯の間を削る処置)と歯列拡大をすることでガタつきをとります。
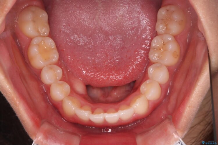
その際、正中を合わせることは難しいことを説明させていただき、患者様にご理解いただいた上で治療を開始しました。
治療後について
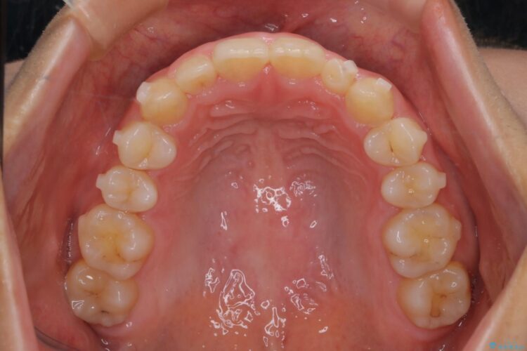
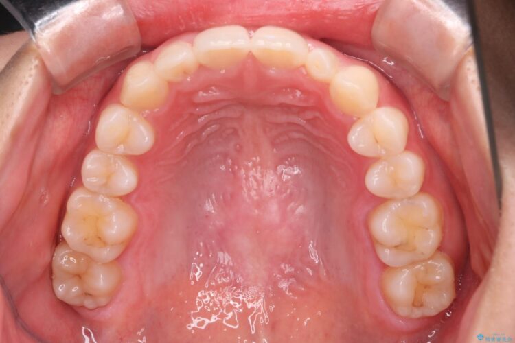
前歯のガタつきを改善するのに時間がかかりましたが、ガタつきもかみ合わせも綺麗になりました。
患者様の希望で、矯正終了後にホワイトニングも行い歯の色味も自然な白さになりました。
- 口腔内・歯並びの状態によっては対応できない場合があります
- マウスピース型矯正装置の長時間装着(1日20時間以上)が必須です
- 治療計画通りに進めるためには、患者様の意志が重要になります
- 矯正治療後の保定が不十分だと後戻り(元の位置に戻ろうとする動き)をします
- 薬機法対象外の矯正歯科装置のため医薬品副作用被害救済制度の対象外となる場合があります
- 自費診療(保険適用外)となります









