インビザラインとセラミックで前歯を美しく
治療概要
- 患者様
- 20代男性
- 治療期間
- 1年2ヶ月
- 概算治療費
- 82.5万円(税込)(矯正費用とセラミックの費用の合計金額)
※費用は治療当時の料金となります
治療動機
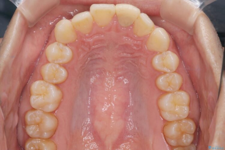
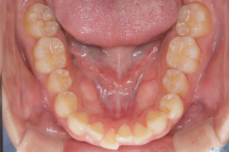
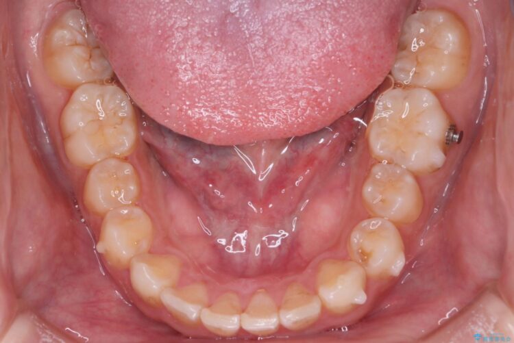
前歯の叢生と口元を下げたいとのことでご来院されました。
治療計画
骨格的な左右差があるため、正中を合わせることや、抜歯による大幅な口元の変化は難しい旨をご説明し、ご理解いただきました。
その上で今回は抜歯を行わず、歯の表面をわずかに整えるIPRを活用しながら、インビザラインで前歯のガタつきを優先的に改善していく計画を立案しました。
治療後について
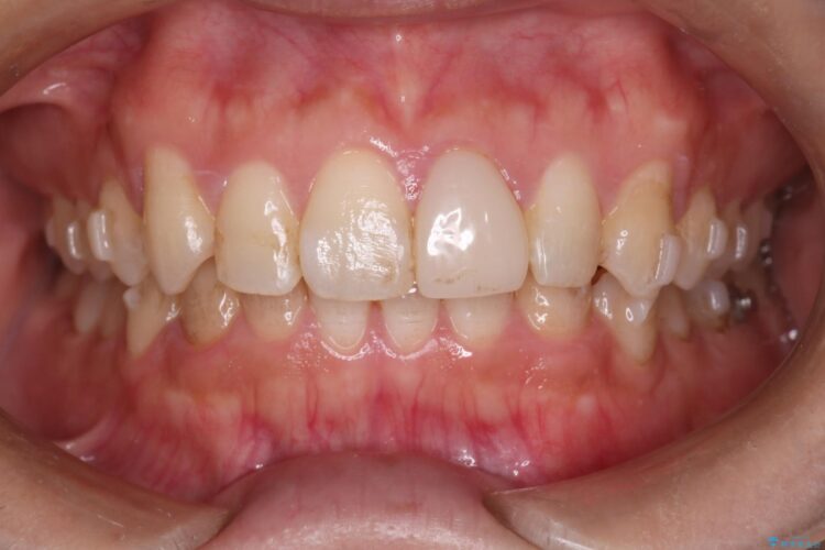
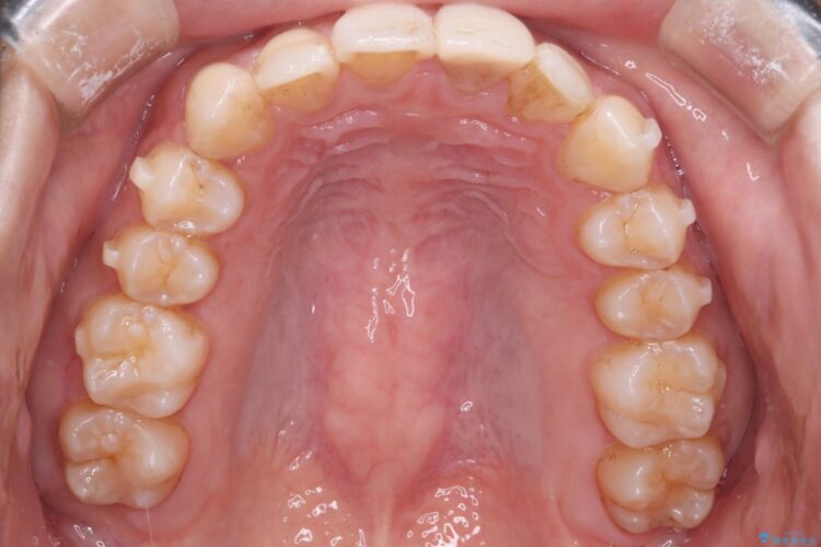
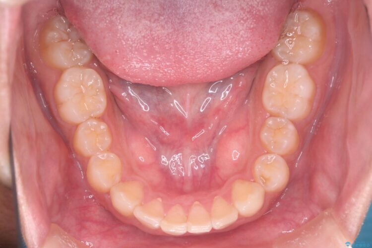
インビザライン矯正により、前歯のガタつきが改善されました。
また、左上1番目の前歯はセラミックをご希望されたため、被せ物の治療を行いとても美しい前歯となりました。
- 口腔内・歯並びの状態によっては対応できない場合があります
- マウスピース型矯正装置の長時間装着(1日20時間以上)が必須です
- 治療計画通りに進めるためには、患者様の意志が重要になります
- 矯正治療後の保定が不十分だと後戻り(元の位置に戻ろうとする動き)をします
- 薬機法対象外の矯正歯科装置のため医薬品副作用被害救済制度の対象外となる場合があります
- 自費診療(保険適用外)となります









