インビザラインによる八重歯の矯正
治療概要
- 患者様
- 20代女性
- 治療期間
- 1年
- 概算治療費
- 約80万円
※費用は治療当時の料金となります
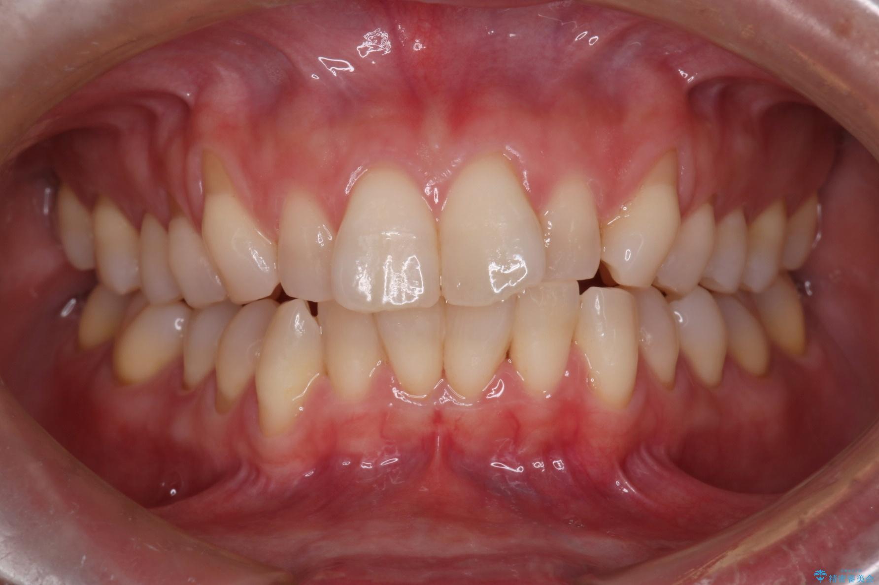
治療動機
八重歯を治したいとのことで、来院されました。
治療計画
インビザラインにて、上顎の歯と歯の間をわずかに削り、並べる計画としました。
治療後について
八重歯を含め並びもきれいになり、かみやすくもなりました。
- 口腔内・歯並びの状態によっては対応できない場合があります
- マウスピース型矯正装置の長時間装着(1日20時間以上)が必須です
- 治療計画通りに進めるためには、患者様の意志が重要になります
- 矯正治療後の保定が不十分だと後戻り(元の位置に戻ろうとする動き)をします
- 薬機法対象外の矯正歯科装置のため医薬品副作用被害救済制度の対象外となる場合があります
- 自費診療(保険適用外)となります

















