転倒して折れた前歯をセラミックで自然な歯へ
治療概要
- 患者様
- 20代男性
- 治療期間
- 1ヶ月
- 概算治療費
- 約19万円
※費用は治療当時の料金となります
治療動機
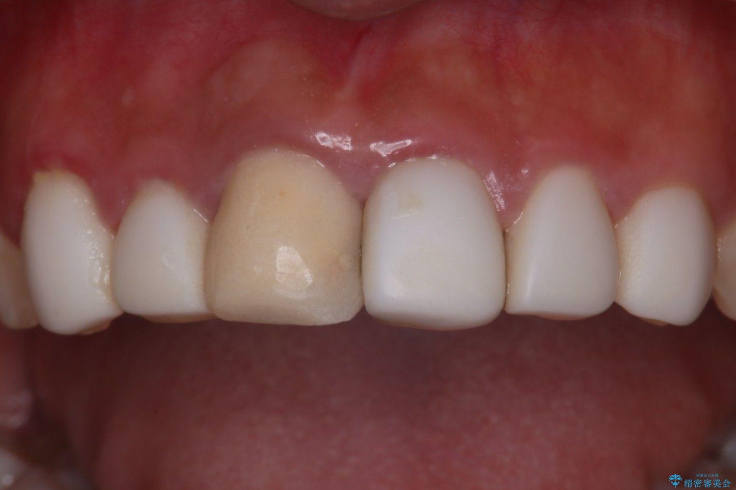
転倒して上の前歯を強打し、先端が欠けてしまい、近医でプラスチックによる応急対応後に当院に来院されました。
治療計画
右上1番の先端が破折しており、オールセラミッククラウンによる治療を提案して患者様も希望され、治療開始となりました。
周りの歯と調和し自然な見た目になるようご希望がありましたので、オールセラミック エクセレントでクラウンを作成することになりました。
治療後について
周囲の歯と調和するようにオーダーメイドで製作されたオールセラミッククラウンを装着することで、
- 天然歯を削ります
- 硬い素材は天然歯を傷つけてしまう場合があります
- かみ合わせや歯ぎしりが強すぎる方はセラミックが割れてしまう可能性があります
- 自費診療(保険適用外治療)となります













