矯正治療を始める前に白い歯に
治療概要
- 患者様
- 20代女性
- 治療期間
- 1日
- 概算治療費
- 29700円(税込)
※費用は治療当時の料金となります
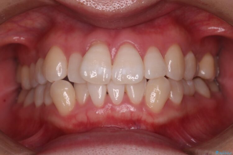
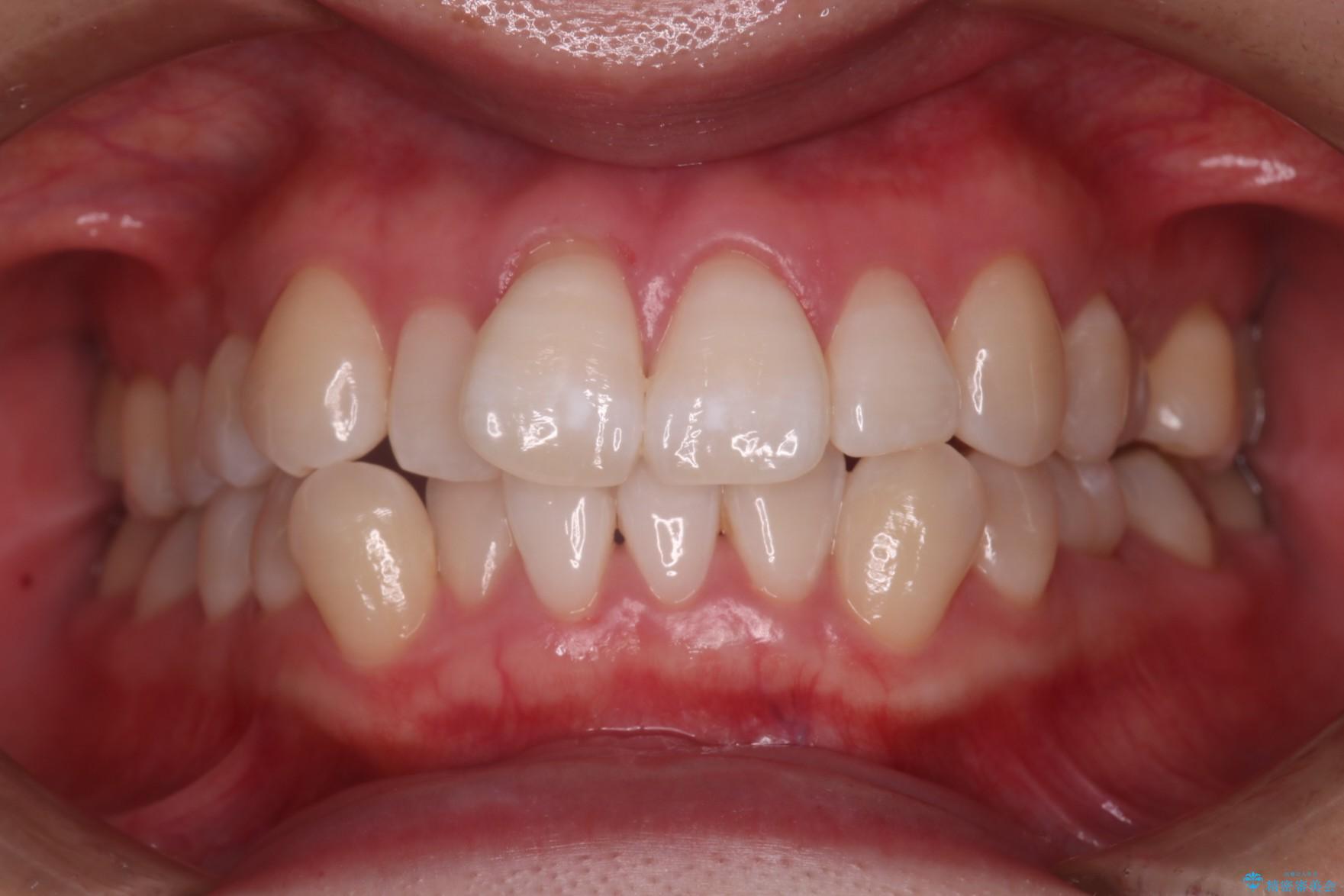
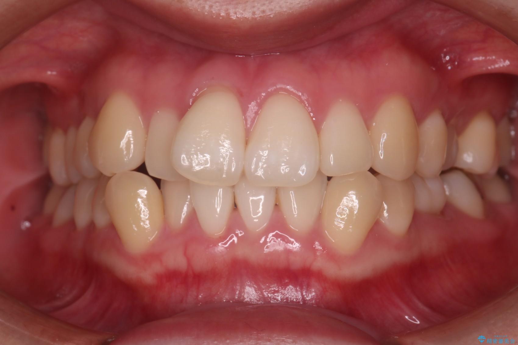
治療動機
インビザライン矯正を始める前に歯を白くしたいとのことでした。
治療計画
1回である程度白くなるオフィスホワイトニングの施術を行うことにしました。
また、希望の白さによっては2~3回程度の施術が必要になることを説明しました。
治療後について
ホワイトニングの施術は初めてで、最初の歯のトーンは暗めでしたので、オフィスホワイトニング後にホームホワイトニングの併用をおすすめしました。
- 知覚過敏が出ることがあります
- ホワイトバンドや白い斑点が出ることがあります
- クラウンやインレー等の補綴物には効果がありません
- ホワイトニングによる効果や持続期間には個人差があります
- 歯牙の状態によっては適応できないことがあります
- 保険適用外となります


