オールセラミッククラウンで歯の色を合わせたい
治療概要
- 患者様
- 20代女性
- 治療期間
- 1ヶ月
- 概算治療費
- 52.8万円
※費用は治療当時の料金となります
治療動機
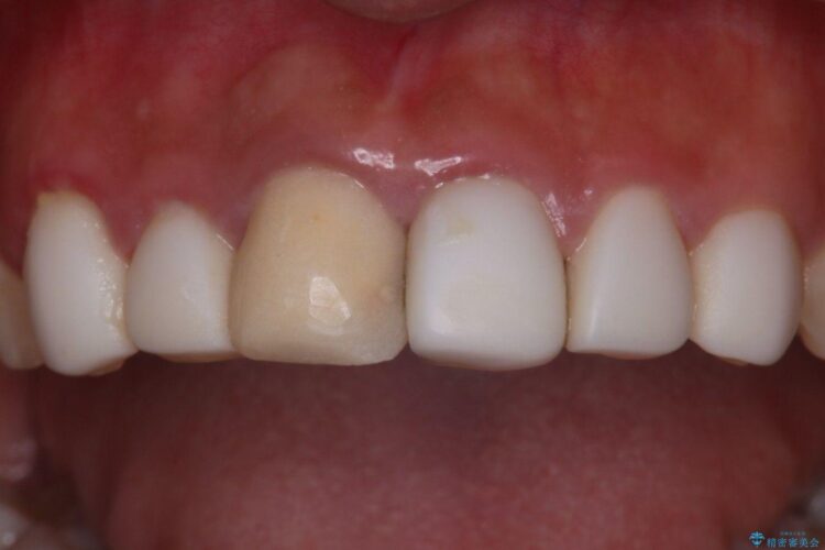
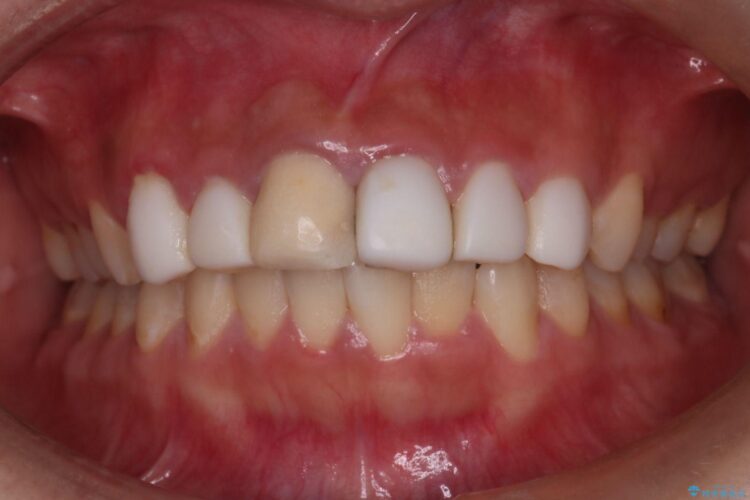
他院で治療した前歯の色が気になるとご来院された患者様です。
治療計画
前歯の色に差があり、レントゲンで確認すると内部にう蝕も見られました。
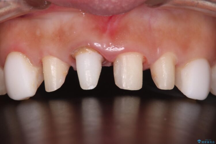
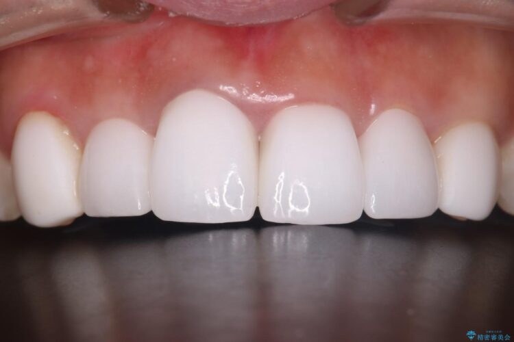
審美性に優れ、う蝕になりにくいオールセラミッククラウンで治療することとしました。
治療後について
清掃性も上がったおかげで、歯肉の状態も良好に保てています。
色の調和もとれ、患者様には大変ご満足いただけました。
- 天然歯を削ります
- 硬い素材は天然歯を傷つけてしまう場合があります
- かみ合わせや歯ぎしりが強すぎる方はセラミックが割れてしまう可能性があります
- 自費診療(保険適用外治療)となります





