抜歯矯正で口元を下げる
治療概要
- 患者様
- 20代女性
- 治療期間
- 1年9ヶ月
- 概算治療費
- 96.8万円
※費用は治療当時の料金となります
治療動機
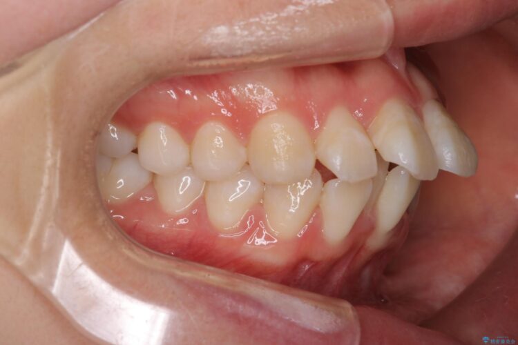
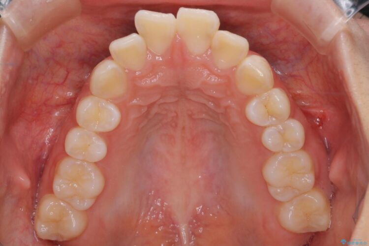
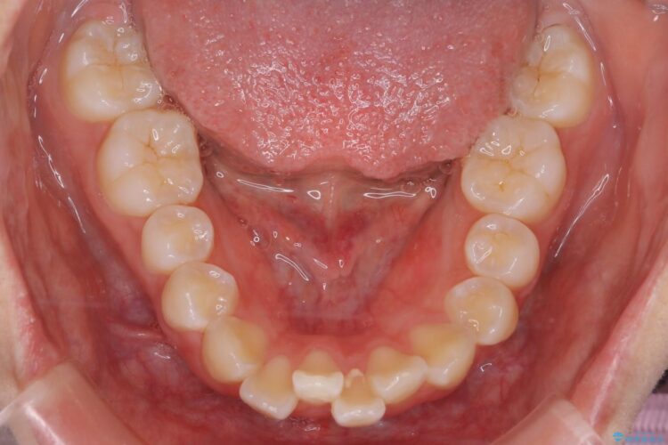
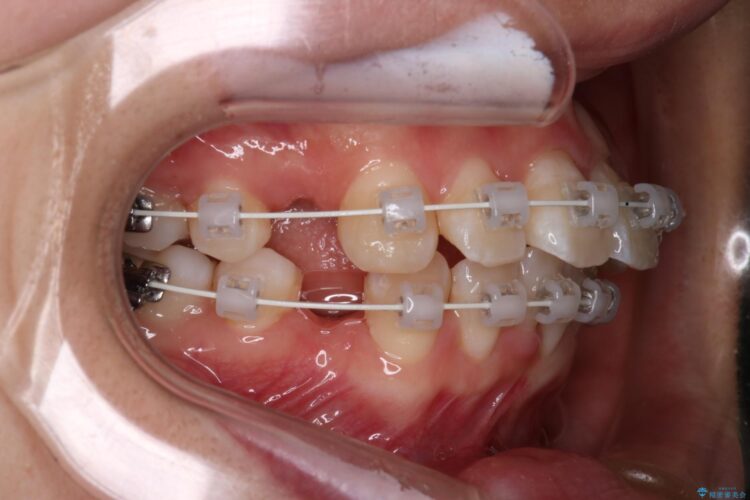
前歯のガつきと口元が出ていることを気にされご来院された患者様です。
治療計画
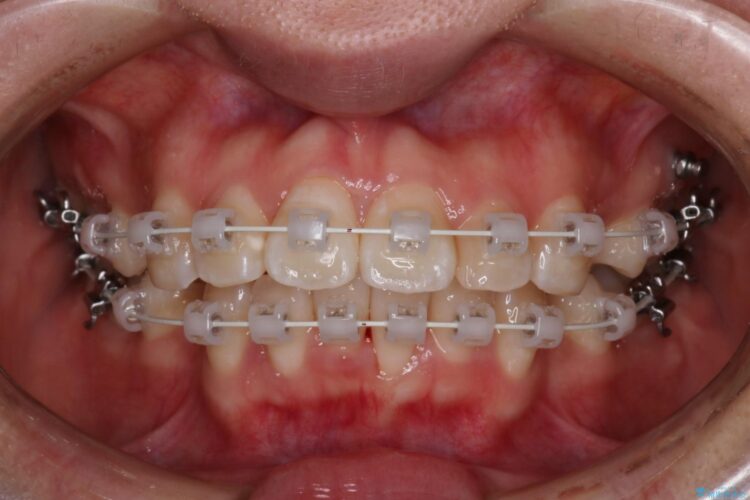
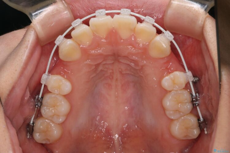
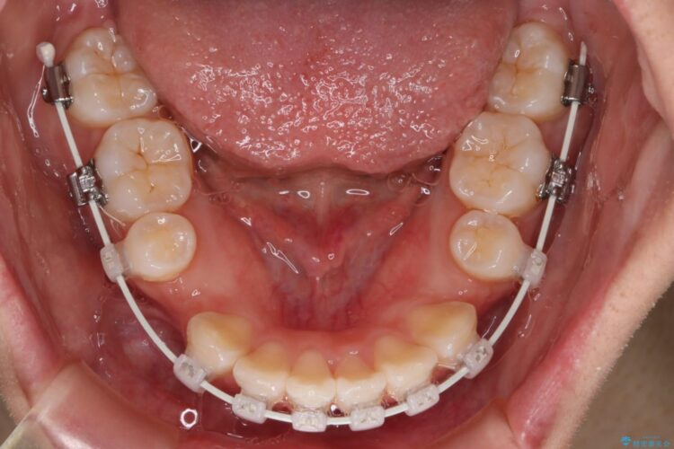
上下4番目の歯を抜歯してガタつきを改善しながら口元を下げる治療計画を立てました。
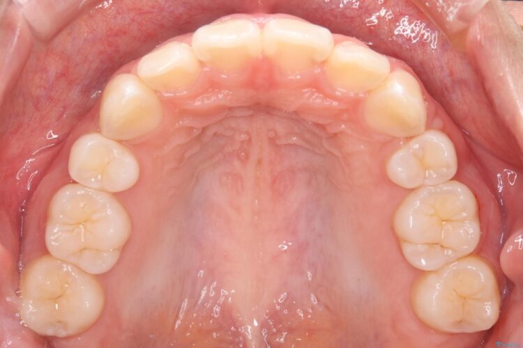
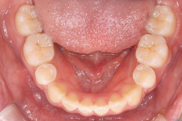
治療後について
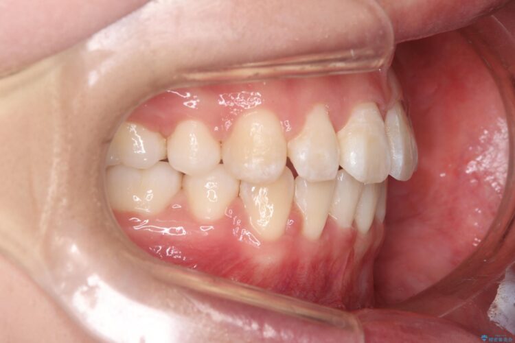
抜歯矯正で口元を下げたことで、Eラインが大変綺麗になりました。
期間も1年9ヶ月と比較的短期間で治療完了することができました。
- 治療中は違和感や痛みが起こることがあります
- 症状により、抜歯が必要な場合があります
- 治療中は歯磨きがしにくくなるため、虫歯や歯周病になりやすくなります
- 矯正治療後の保定が不十分だと後戻り(元の位置に戻ろうとする動き)をします
- 自費診療(保険適用外)となります












