飛び出た前歯のインビザラインによる目立たない矯正
治療概要
- 患者様
- 30代女性
- 治療期間
- 1年3ヶ月
- 概算治療費
- 約88万円
※費用は治療当時の料金となります
治療動機
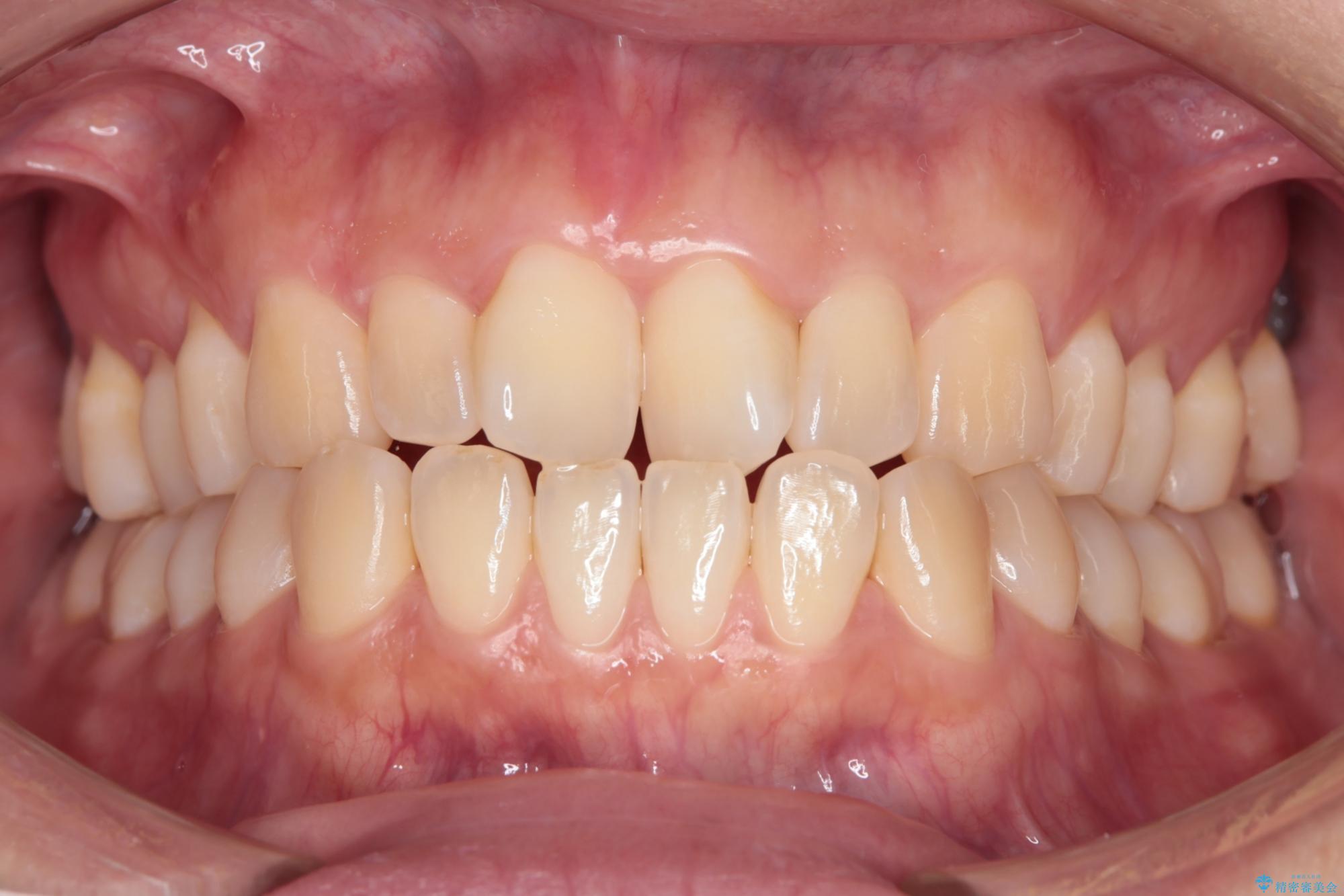
上下の前歯のがたつきを主訴に来院されました。
治療計画
右上の2番目の歯が前方に傾斜しており、下の前歯にガタガタがありました。
また、かみ合わせが深く、下の前歯があまり見えない状態でした。
インビザラインにて治療をしました。
治療後について
インビザラインでガタガタと深いかみ合わせを治療することができました。
- 口腔内・歯並びの状態によっては対応できない場合があります
- マウスピース型矯正装置の長時間装着(1日20時間以上)が必須です
- 治療計画通りに進めるためには、患者様の意志が重要になります
- 矯正治療後の保定が不十分だと後戻り(元の位置に戻ろうとする動き)をします
- 薬機法対象外の矯正歯科装置のため医薬品副作用被害救済制度の対象外となる場合があります
- 自費診療(保険適用外)となります


















