インビザラインで右側のガタつきの改善
治療概要
- 患者様
- 20代女性
- 治療期間
- 1年
- 概算治療費
- 47.3万円(税込)
※費用は治療当時の料金となります
治療動機
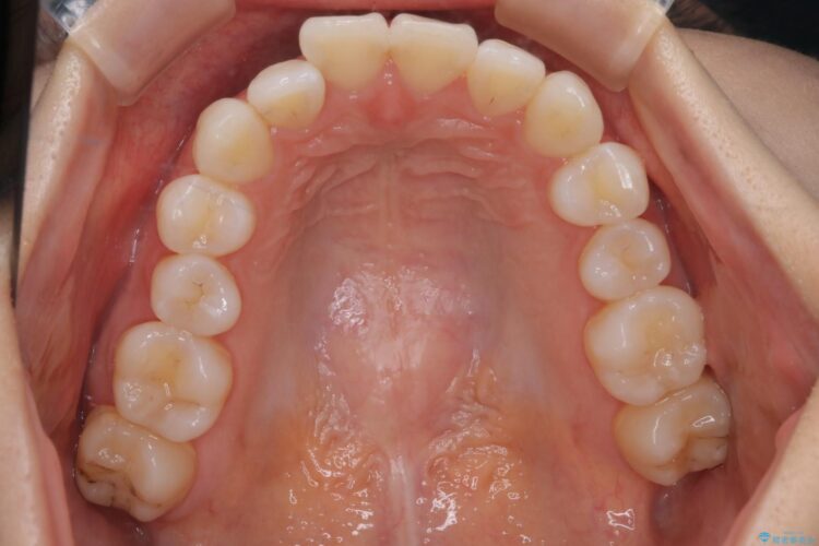
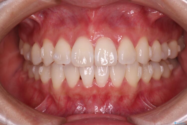
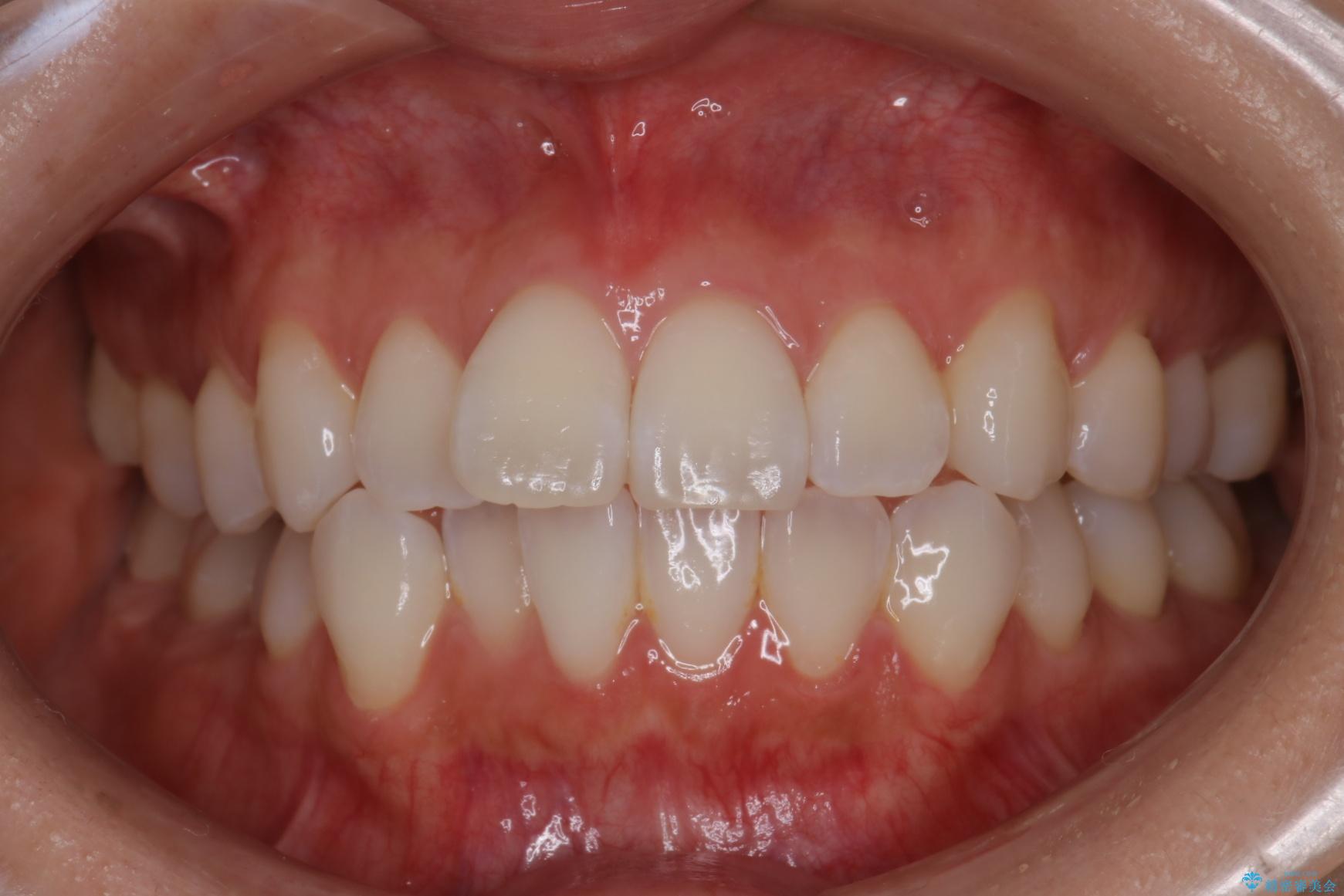
右側前歯のがたつきが気になるとご来院された患者様です。
治療計画
臼歯の咬合関係は問題なかったので、歯列拡大とIPR(歯と歯の間を削る処置)を行うことで歯並びを整えることとしました。
治療後について
患者様が当院での治療を決めた理由が「マウスピース矯正でも経過をしっかりみてくれる歯科医院を探していたので当院での治療を決めた」とのことでした。
当院では、矯正の経過はもちろん、口腔内の清掃状況・虫歯などのチェックも行なっております。
しっかり経過を確認しながら治療を進めることで、健康な口腔内を保ちながら歯並びも綺麗になりました。
- 口腔内・歯並びの状態によっては対応できない場合があります
- マウスピース型矯正装置の長時間装着(1日20時間以上)が必須です
- 治療計画通りに進めるためには、患者様の意志が重要になります
- 矯正治療後の保定が不十分だと後戻り(元の位置に戻ろうとする動き)をします
- 薬機法対象外の矯正歯科装置のため医薬品副作用被害救済制度の対象外となる場合があります
- 自費診療(保険適用外)となります









